Стоматолог Закарян Кнкуш Егишеевна — цены, отзывы, стаж — Принимает в Москве

Закарян Кнкуш Егишеевна

Закарян Кнкуш Егишеевна - фотография
стоматолог-гигиенист
Стаж 3 года
врач высшей категории
Закарян Кнкуш Егишеевна принимает в «Клиника стоматологии ПРОСМАЙЛ.РУ» в Москве. Врач высшей категории, стаж 3 года. Специализируется на гигиене полости рта, по которой клиника оказывает 10 услуг. Имеет 2 работы до/после в портфолио. Квалификация специалиста подтверждена 5 лицензиями, сертификатами и наградами.

Где принимает:

Врач высшей категории
Опыт 3 года
2 работы в портфолио
5 сертификатов

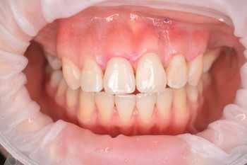
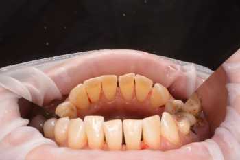
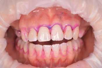
Закарян Кнкуш Егишеевна: портфолио (2)

    Помогите другим сделать правильный выбор — оставьте свой отзыв о докторе
    Написать отзыв

    Услуги стоматолога в других клиниках

    Профгигиена
    Чистка зубов Air-flow от 1 125 ₽ до 12 800 ₽
    Фторирование зубов от 50 ₽ до 7 500 ₽
    Еще услуги