Фото до и после по услуге Профгигиена в клиниках Иркутска

Фотографии до и после: Профгигиена

На странице представлено портфолио стоматологий Иркутска с работами до и после профессиональной чистки зубов. В нашем портфолио собраны разные клинические случаи: от удаления незначительного налета до снятия массивного поддесневого камня. Здесь вы можете увидеть, как возвращается естественный цвет и внешний вид зубов после процедуры. Изучите результаты до и после чистки зубов, чтобы увидеть реальный эффект и выбрать клинику в Иркутске, где профессиональная гигиена поможет вернуть зубам здоровый вид.

Стоматология ЛАЙК СТОМ (LIKE STOM)

Профгигиена

Доктор: Выборова Екатерина Геннадьевна

Все работы клиники
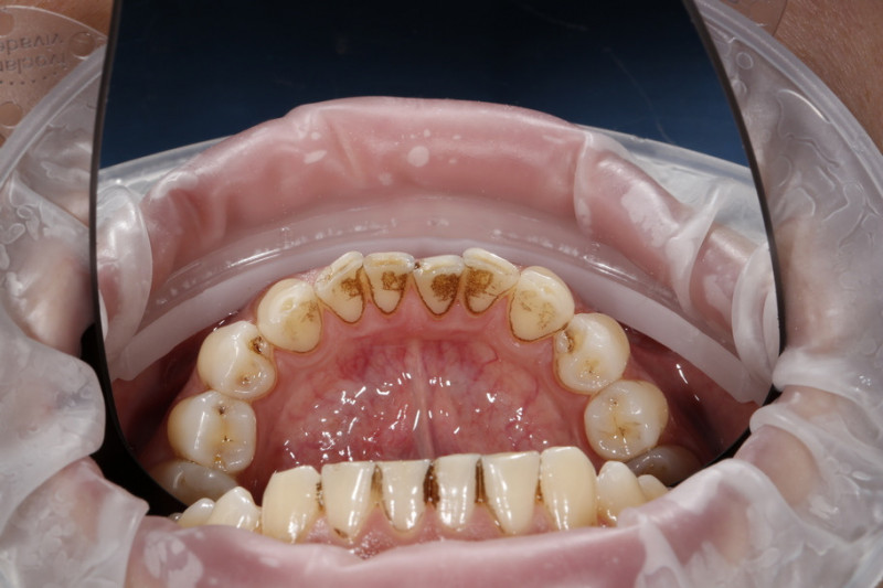
Стоматология РАДИКС

Чистка зубов Air-flow

Комплексная профессиональная гигиена полости рта, врач Доржижапова Д.А. В нашей клинике чистка производится в четыре этапа: 1) Чистка ультразвуком (аппарат NSK, Япония) - убираем твердые отложения и зубной камень. 2) Обработка Air-Flow (NSK, Япония) - вода и специальный чистящий порошок подаются под давлением, вычищаем мягкий налет, пигментированный налет (от кофе, чая и сигарет), очищаем все поверхности зубов, включая межзубные промежутки. 3) Обработка щеткой и специальной полировочной пастой. Мы тщательно полируем зубы после чистки, что замедляет появление налёта в дальнейшем. 4) Ремтерапия и фторирование: В заключении в течение 1 минуты эмаль укрепляется каппой с гелем с различными вкусами. Гель снижает чувствительность зубов и насыщает их минералами.

Все работы клиники
Стоматологический центр ИМИДЖ

Профгигиена

Гигиена рта и очистка зубов происходит в три этапа: • Удаление камней с помощью ультразвукового скейлера. Ультразвук способен удалять налет не только на зубных поверхностях, но и в самых труднодоступных зонах, включая парадонтальные карманы. • Снятие зубного налета аппаратом Air Flow. Очищение зубов и пародонтальных карманов происходит за счет мощной водно-воздушной струи, насыщенную мелкими абразивными частицами. • Полировка зубов специальными инструментами и средствами, благодаря чему зубы приобретают естественный блеск идеальную гладкость.

Все работы клиники