Фото до и после по услуге Протезирование зубов в клиниках Томска

Фотографии до и после: Протезирование зубов

На странице представлено портфолио стоматологий Томска с фото работ до и после протезирования зубов. Мы собрали результаты разных вариантов протезирования: одиночные коронки (керамические, циркониевые), мостовидные протезы, протезы на имплантах и полные съемные протезы. Вы можете видеть, как восстанавливаются полностью утраченные или сильно разрушенные зубы, возвращается жевательная функция и естественный вид улыбки. Изучите результаты до и после протезирования и выберите подходящую клинику в Томске, чтобы вернуть здоровье и красоту вашей улыбке.

Авторская клиника эстетической стоматологии КОСМОДЕНТ (COSMODENT)

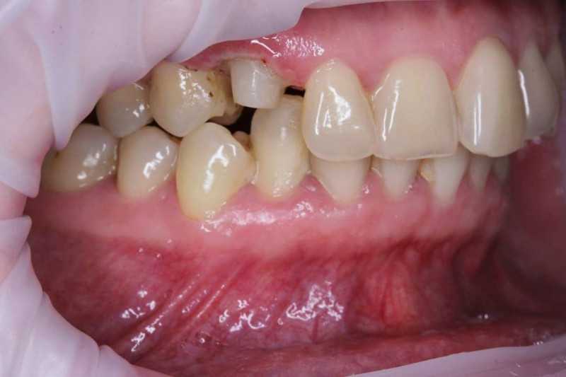
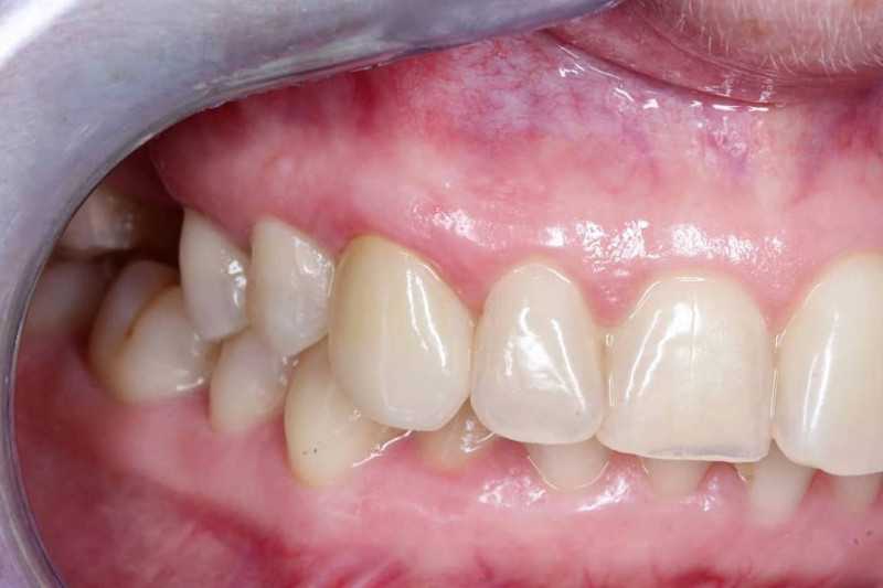
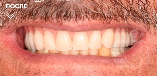
Установка несъемного протеза

Доктор: Хачатрян Гурген Вачикович

Установка коронки из диоксида циркония

Все работы клиники
Клиника МОЙ СТОМАТОЛОГ

Установка пластиночного протеза

Восстановление не только улыбки, но и возможности жевать-основная задача сьемного протезирования.

Доктор: Алексеева Татьяна Анатольевна

Протезирование зубов

Доктор: Алексеева Татьяна Анатольевна

Все работы клиники
Стоматологическая клиника КАРАТ

Установка металлокерамической коронки

Протезирование зубов

Все работы клиники
Стоматологическая клиника АВРОРА

Протезирование зубов

Доктор: Якушев Станислав Сергеевич

Протезирование зубов

Доктор: Береснев Дмитрий Павлович

Протезирование зубов

Доктор: Якушев Станислав Сергеевич

Протезирование зубов

Доктор: Якушев Станислав Сергеевич

Установка коронки из диоксида циркония

Доктор: Якушев Станислав Сергеевич

Установка коронки из диоксида циркония

Тотальная работа на верхней челюсти. Коронки из диоксида циркония

Доктор: Якушев Станислав Сергеевич

Протезирование зубов

Доктор: Береснев Дмитрий Павлович

Протезирование зубов

Доктор: Якушев Станислав Сергеевич

Все работы клиники
ЦЕНТР ДЕНТАЛЬНОЙ ИМПЛАНТАЦИИ

Установка коронки из диоксида циркония

Доктор: Якушев Станислав Сергеевич

Установка коронки из диоксида циркония

Тотальная работа на верхней челюсти. Коронки из диоксида циркония

Доктор: Якушев Станислав Сергеевич

Протезирование зубов

Доктор: Якушев Станислав Сергеевич

Протезирование зубов

Доктор: Якушев Станислав Сергеевич

Протезирование зубов

Доктор: Якушев Станислав Сергеевич

Протезирование зубов

Доктор: Якушев Станислав Сергеевич

Все работы клиники
Сеть клиник ДИАМЕД (DИАМЕД)

Протезирование зубов

Доктор: Синицын Николай Георгиевич

Протезирование зубов

Доктор: Синицын Николай Георгиевич

Протезирование зубов

Доктор: Синицын Николай Георгиевич

Протезирование зубов

Доктор: Синицын Николай Георгиевич

Протезирование зубов

Доктор: Синицын Николай Георгиевич

Все работы клиники
Стоматологическая клиника ЗУБ-ОК

Установка коронки из диоксида циркония

Было установлено 14 единиц коронок из диоксида циркония.

Доктор: Мустафазаде Ниджат Давудович

Протезирование зубов

Изменение улыбки с помощью цельнокерамических коронок Emax. Цвет блич 3.

Доктор: Мустафазаде Ниджат Давудович

Установка коронки из диоксида циркония

Коронки из диоксида циркония.

Доктор: Мустафазаде Ниджат Давудович

Протезирование зубов

Омоложение лица засчет увеличения нижней трети лица путём завышения прикуса. Использованы коронки из пресс керамики Emax. Выбран самый светлый оттенок А1 из естественной цветовой группы.

Доктор: Мустафазаде Ниджат Давудович

Все работы клиники
Сеть стоматологических клиник ДЕНТА-РУСЬ

Установка съемного протеза

Установка коронки из диоксида циркония

Установка несъемного протеза

Доктор: Хачатрян Гурген Вачикович

Все работы клиники
Стоматология ЗЕЛЕНОЕ ЯБЛОКО

Установка съемного протеза

Установка керамической коронки

Установка съемного протеза

Все работы клиники
Стоматология КАРИЕС@НЕТ

Установка мостовидного протеза

Металлокерамический мостовидный протез

Микропротезирование

Все работы клиники