Фото до и после по услуге Протезирование зубов в клиниках Астрахани

Фотографии до и после: Протезирование зубов

На странице представлено портфолио стоматологий Астрахани с фото работ до и после протезирования зубов. Мы собрали результаты разных вариантов протезирования: одиночные коронки (керамические, циркониевые), мостовидные протезы, протезы на имплантах и полные съемные протезы. Вы можете видеть, как восстанавливаются полностью утраченные или сильно разрушенные зубы, возвращается жевательная функция и естественный вид улыбки. Изучите результаты до и после протезирования и выберите подходящую клинику в Астрахани, чтобы вернуть здоровье и красоту вашей улыбке.

Первая семейная стоматология МОИ РОДНЫЕ

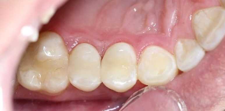
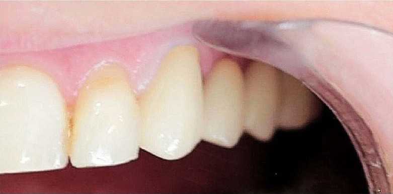
Установка керамической коронки

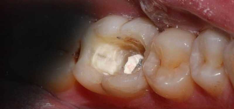
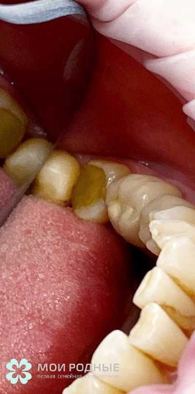
Установка керамической вкладки

Зуб был успешно спасён, после чего установили керамическую вкладку

Установка керамической коронки

Установка керамической коронки

Установка керамической вкладки

Установка керамической коронки

Установка керамической коронки

Установка керамической вкладки

Установка керамической коронки

Установка керамической коронки

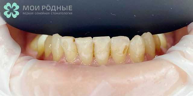
Всего за 4 дня было установлено 25 цельнокерамических коронок E.max

Установка керамической коронки

Установка керамической коронки

Установка керамической коронки

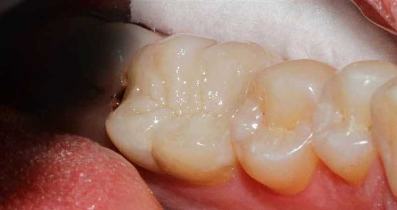
Установка керамической вкладки

На фото - керамическая вкладка, выполненная по технологии CEREC

Установка керамической коронки

Установка керамической коронки

Установка керамической коронки

Перед вами очень интересная ситуация - там, где должно быть три зуба, втиснули 4 коронки

Установка керамической коронки

Установка керамической коронки

Установка керамической коронки

Установка керамической коронки

Установка керамической коронки

Установка керамической коронки

Установка керамической коронки

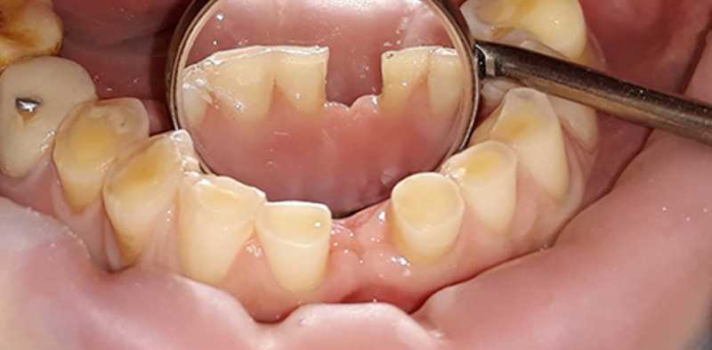
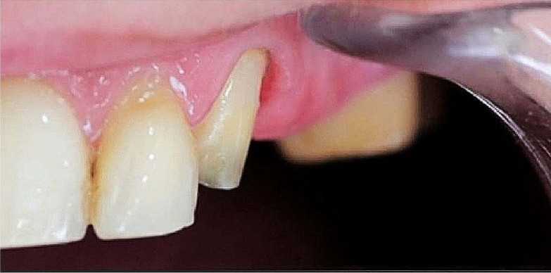
Реставрация зуба

Установка керамической коронки

Установка керамической коронки

Установка керамической коронки

Установка керамической коронки

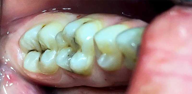
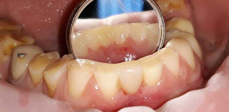
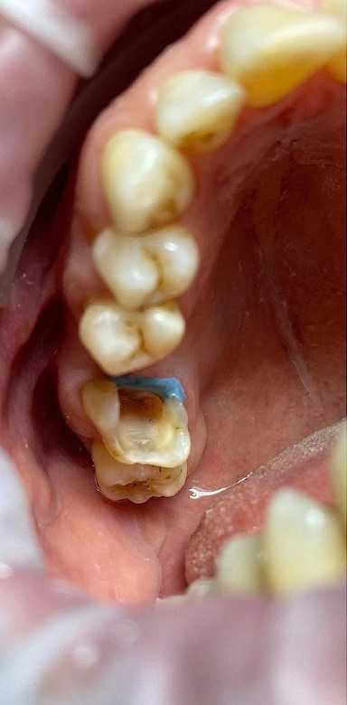
Установка керамической вкладки

На этом фото вы можете наглядно увидеть, чем пломба отличается от керамической вкладки CAD/CAM

Все работы клиники
Стоматологический центр ДЕНТАЛ ПАЛАС (DENTAL PALACE)

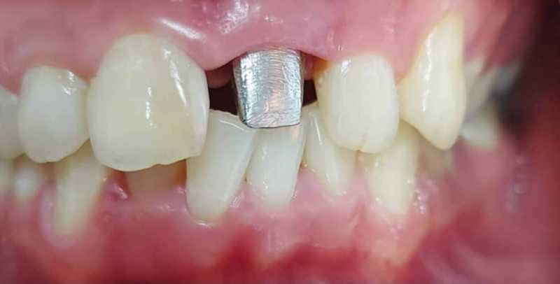
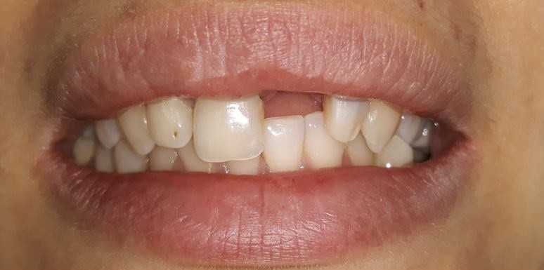
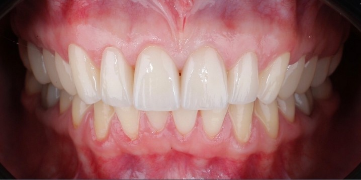
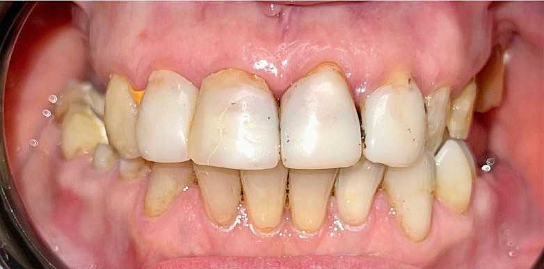
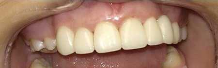
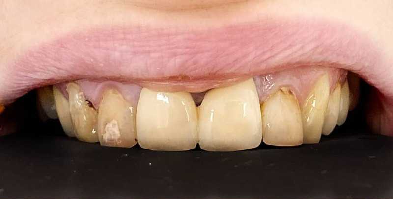
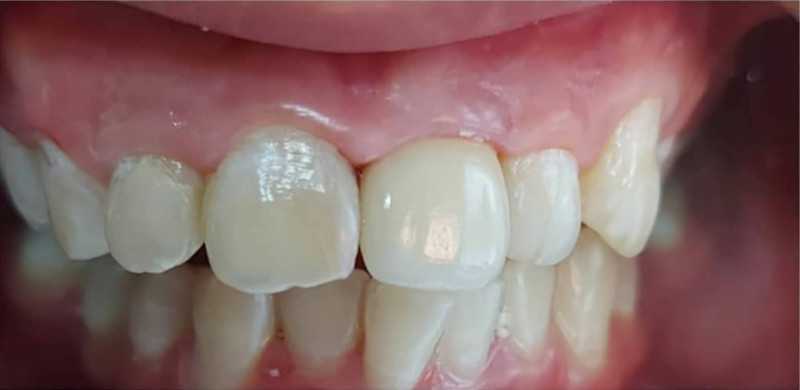
Установка коронки из диоксида циркония

Тотальная реабилитация улыбки при помощи ортодонтического лечения с последующим протезированием коронками из диоксид циркония

Доктор: Кубачев Марат Мирзамагомедович

Протезирование зубов

Протезирование зубов

Протезирование зубов

Протезирование зубов

Протезирование зубов

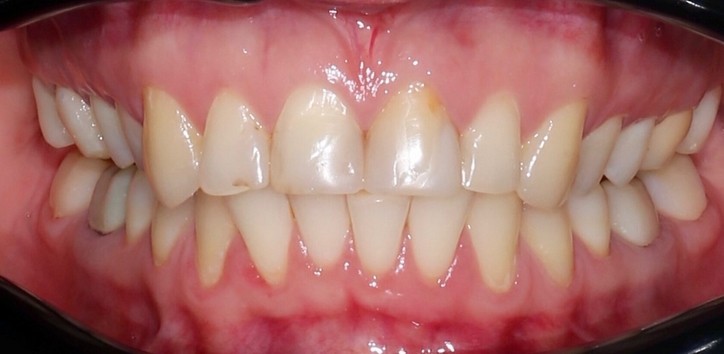
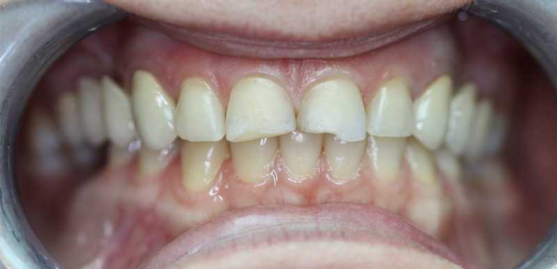
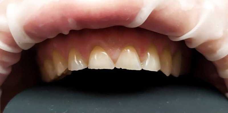
Установка коронки из диоксида циркония

Установка Виниров

Доктор: Кубачев Марат Мирзамагомедович

Все работы клиники
Стоматология ЭКОДЕНТ (ECODENT)

Установка керамической коронки

Установка коронки из диоксида циркония

Доктор: Воронкова Анна Владимировна

Установка керамической коронки

Установка коронки из диоксида циркония

Доктор: Воронкова Анна Владимировна

Установка керамической коронки

Установка керамической коронки

Установка коронки из диоксида циркония

Доктор: Воронкова Анна Владимировна

Все работы клиники
Стоматология АЗУРИТ

Протезирование зубов

Протезирование зубов

Все работы клиники
Стоматологическая клиника СИТИ ДЕНТ (CITY DENT)

Установка коронки из диоксида циркония

Доктор: Мардиев Ратмир Шакирович

Установка металлокерамической коронки

Установка металлокерамических коронок.

Доктор: Мардиев Ратмир Шакирович

Все работы клиники
Стоматологическая клиника ОРТОДОНТ-ЦЕНТР

Установка коронки из диоксида циркония

Установка Виниров

Доктор: Кубачев Марат Мирзамагомедович

Установка коронки из диоксида циркония

Тотальная реабилитация улыбки при помощи ортодонтического лечения с последующим протезированием коронками из диоксид циркония

Доктор: Кубачев Марат Мирзамагомедович

Все работы клиники