Стоматолог Малышева Людмила Юрьевна — цены, отзывы, стаж — Принимает в Челябинске

Малышева Людмила Юрьевна

Малышева Людмила Юрьевна - фотография
стоматолог-хирург
стоматолог-имплантолог
Стаж 19 лет
к.м.н., врач высшей категории, главный врач
Малышева Людмила Юрьевна принимает в «Стоматология АТИС ФАБЕР» в Челябинске. К.м.н., главный врач, врач высшей категории, стаж 19 лет. Специализируется на хирургии и имплантологии, по которым клиника оказывает 21 услугу. Имеет 4 работы до/после в портфолио. Квалификация специалиста подтверждена 15 лицензиями, сертификатами и наградами. Для уточнения дополнительной информации о специалисте или записи на прием можно позвонить по телефону
+7 (351)Показать телефон
.

Где принимает:

Главный врач
15 сертификатов
Опыт 19 лет
Кандидат мед.наук
Врач высшей категории
4 работы в портфолио

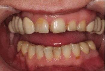
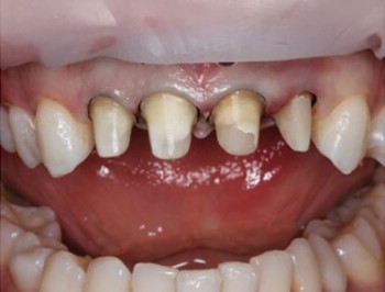
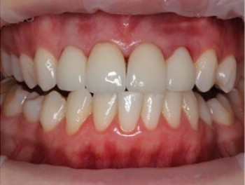
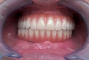
Малышева Людмила Юрьевна: портфолио (4)

    Помогите другим сделать правильный выбор — оставьте свой отзыв о докторе
    Написать отзыв

    Услуги стоматолога в других клиниках

    Хирургическая стоматология
    Удаление зубов от 1 400 ₽ до 20 000 ₽
    Удаление кисты и гранулемы зуба от 1 400 ₽ до 47 950 ₽
    Еще услуги