Стоматолог Романенко Яна Сергеевна — цены, отзывы, стаж — Принимает в Челябинске

Романенко Яна Сергеевна

Романенко Яна Сергеевна - фотография
стоматолог-гигиенист
Стаж 10 лет
Романенко Яна Сергеевна принимает в «Стоматологическая клиника АСТРА ДЕНТАЛ» в Челябинске. Стаж 10 лет. Специализируется на гигиене полости рта, по которой клиника оказывает 11 услуг. Также 32top представляет форму онлайн расписания, через которую можно записаться к специалисту на свободную дату и время.

Где принимает:

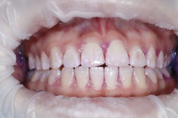
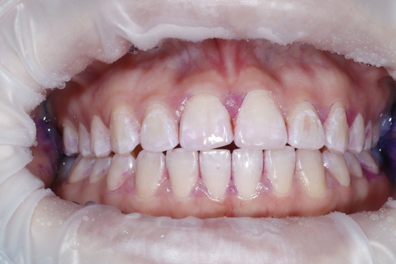
1 работа в портфолио
Опыт 10 лет

Романенко Яна Сергеевна: портфолио (1)

    Помогите другим сделать правильный выбор — оставьте свой отзыв о докторе
    Написать отзыв

    Услуги стоматолога в других клиниках

    Эстетическая стоматология
    Установка виниров от 30 000 ₽ до 58 000 ₽
    Установка скайсов от 1 500 ₽ до 3 500 ₽
    Еще услуги