Стоматолог Антипова Светлана Сергеевна — цены, отзывы, стаж — Принимает в Челябинске

Антипова Светлана Сергеевна

Антипова Светлана Сергеевна - фотография
стоматолог-терапевт
Стаж 17 лет
Антипова Светлана Сергеевна принимает в «СЕМЕЙНАЯ СТОМАТОЛОГИЧЕСКАЯ КЛИНИКА» в Челябинске. Стаж 17 лет. Специализируется на терапии, по которой клиника оказывает 12 услуг. Имеет 5 работ до/после в портфолио. Для уточнения дополнительной информации о специалисте или записи на прием можно позвонить по телефону
+7 (351)Показать телефон
.

Где принимает:

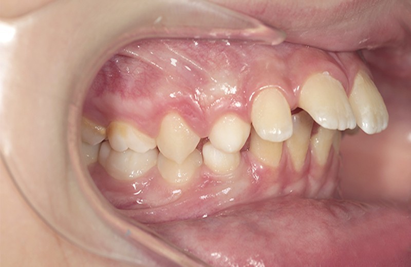
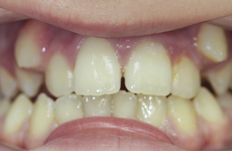
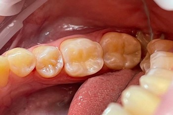
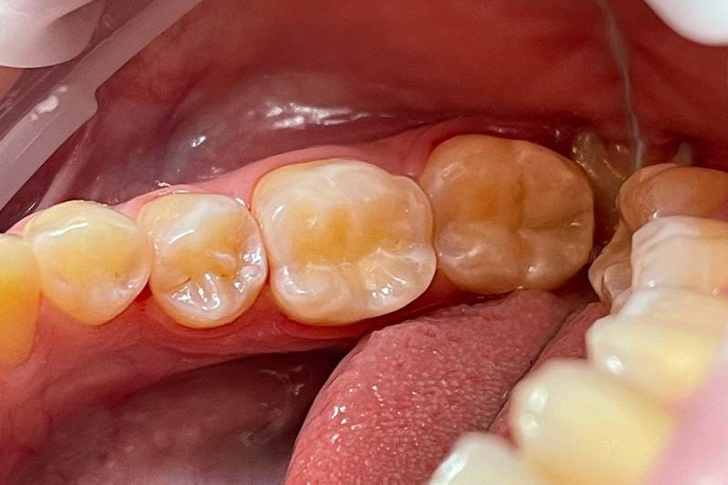
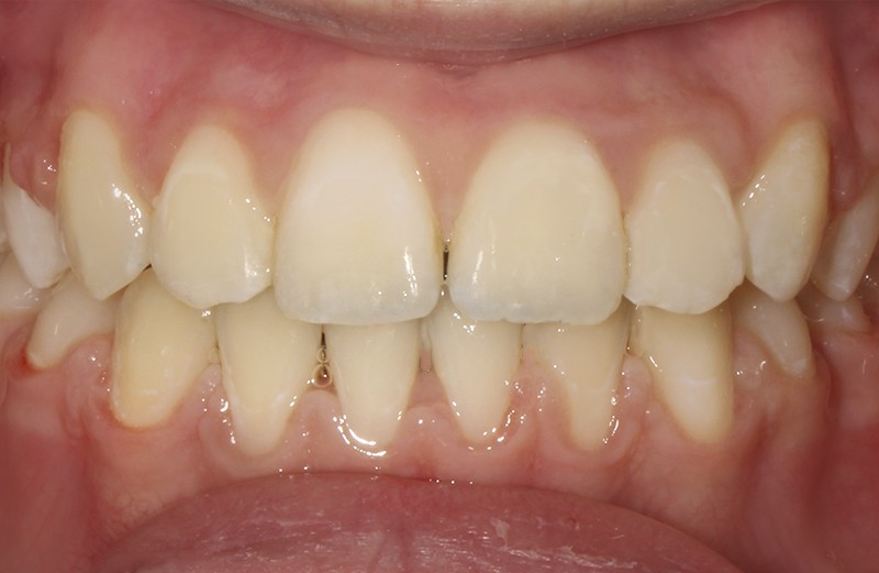
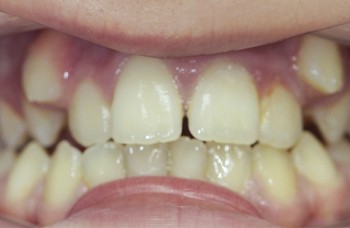
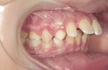
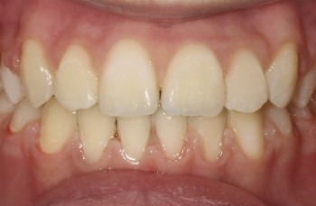
5 работ в портфолио
Опыт 17 лет

Антипова Светлана Сергеевна: портфолио (5)

    Помогите другим сделать правильный выбор — оставьте свой отзыв о докторе
    Написать отзыв

    Услуги стоматолога в других клиниках

    Терапевтическая стоматология
    Лечение кариеса от 3 900 ₽ до 14 300 ₽
    Лечение пульпита от 6 000 ₽ до 33 500 ₽
    Еще услуги