Стоматолог Пестова Анастасия Ивановна — цены, отзывы, стаж — Принимает в Челябинске

Пестова Анастасия Ивановна

Пестова Анастасия Ивановна - фотография
стоматолог-гигиенист
Стаж 1 год
Пестова Анастасия Ивановна принимает в «Стоматологическя и косметологическая клиника СОЛА» в Челябинске. Стаж 1 год. Специализируется на гигиене полости рта, по которой клиника оказывает 5 услуг. Имеет 2 работы до/после в портфолио. Квалификация специалиста подтверждена 5 лицензиями, сертификатами и наградами. Для уточнения дополнительной информации о специалисте или записи на прием можно позвонить по телефону
+7 (800)Показать телефон
.

Где принимает:

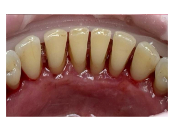
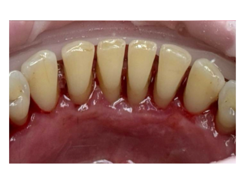
2 работы в портфолио
5 сертификатов
Опыт 1 год

Пестова Анастасия Ивановна: портфолио (2)

    Помогите другим сделать правильный выбор — оставьте свой отзыв о докторе
    Написать отзыв

    Услуги стоматолога в других клиниках

    Профгигиена
    Чистка зубов Air-flow от 2 000 ₽ до 10 080 ₽
    Фторирование зубов от 120 ₽ до 5 800 ₽
    Еще услуги