Стоматолог Кудряшов Евгений Валерьевич — цены, отзывы, стаж — Принимает в Челябинске

Кудряшов Евгений Валерьевич

Кудряшов Евгений Валерьевич - фотография
стоматолог-ортопед
Стаж 17 лет
главный врач
Кудряшов Евгений Валерьевич принимает в «Центр современной стоматологии ВЭЛАДЕНТ» в Челябинске. Главный врач, стаж 17 лет. Специализируется на ортопедии, по которой клиника оказывает 6 услуг. Имеет 3 работы до/после в портфолио. Квалификация специалиста подтверждена 6 лицензиями, сертификатами и наградами. Для уточнения дополнительной информации о специалисте или записи на прием можно позвонить по телефону
+7 (351)Показать телефон
.

Где принимает:

6 сертификатов
Главный врач
Опыт 17 лет
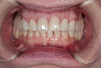
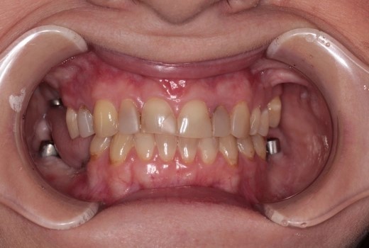
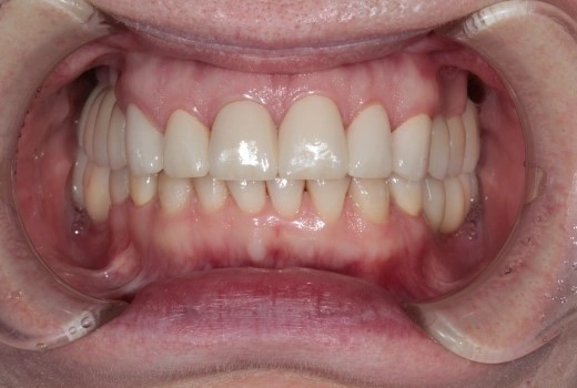
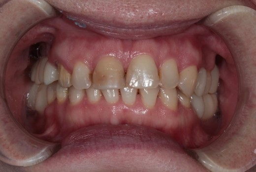
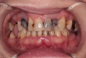
3 работы в портфолио

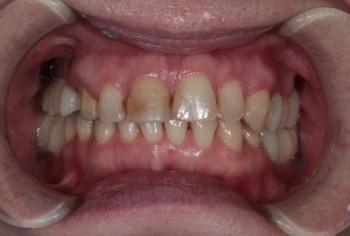
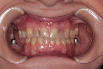
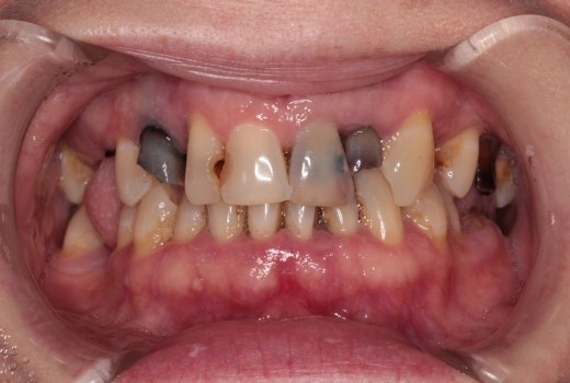
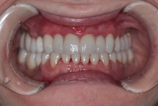
Кудряшов Евгений Валерьевич: портфолио (3)

Отзывы о враче Кудряшов Евгений Валерьевич

Почему нашим отзывам можно доверять?
После приема Пациент записывался в клинику через 32top. После приёма мы позвонили ему и получили отзыв.
5 сентября 2024 г.
1 2 3 4 5
Мой зуб был утерян, поэтому здесь, благодаря ортопеду Евгению Валерьевичу и хирургу-имплантологу Ларисе Олеговне, у меня появился новый. По ощущениям, будто мой родной зуб, на вид тоже не отличить. Рекомендую!
    Помогите другим сделать правильный выбор — оставьте свой отзыв о докторе
    Написать отзыв

    Услуги стоматолога в других клиниках

    Протезирование зубов
    Установка коронки на зуб от 6 600 ₽ до 44 500 ₽
    Виды протезов
    Еще услуги