Стоматолог Ткаченко Андрей Станиславович — цены, отзывы, стаж — Принимает в Челябинске

Ткаченко Андрей Станиславович

Ткаченко Андрей Станиславович - фотография
стоматолог-терапевт
стоматолог-гигиенист
Стаж 8 лет
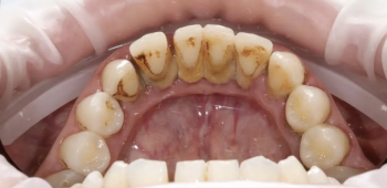
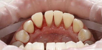
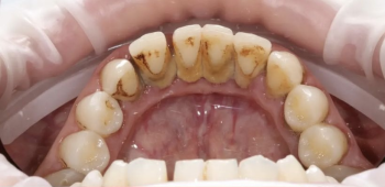
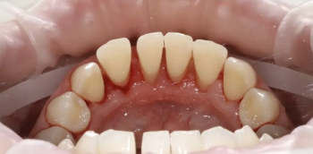
Ткаченко Андрей Станиславович принимает в «Стоматология СТОМПРАКТИКА.РФ» в Челябинске. Стаж 8 лет. Специализируется на терапии и гигиене полости рта, по которым клиника оказывает 11 услуг. Имеет 2 работы до/после в портфолио. Для уточнения дополнительной информации о специалисте или записи на прием можно позвонить по телефону
+7 (351)Показать телефон
. Также 32top представляет форму онлайн расписания, через которую можно записаться к специалисту на свободную дату и время.

Где принимает:

2 работы в портфолио
Опыт 8 лет
    Помогите другим сделать правильный выбор — оставьте свой отзыв о докторе
    Написать отзыв

    Услуги врача (5)

    Профгигиена
    Чистка зубов Air-flow
    от 8 400 ₽ за 1 сеанс
    Удаление зубного камня
    Эстетическая стоматология
    Отбеливание зубов
    Отбеливание Zoom
    Лазерное отбеливание
    Все цены носят ознакомительный характер. Точную цену вы сможете получить только после консультации специалиста.
    Звоните по телефону:
    +7 (351)Показать телефон

    Ткаченко Андрей Станиславович: портфолио (2)

    Акции и скидки клиники СТОМПРАКТИКА.РФ (1)