Стоматолог Худякова Людмила Ивановна — цены, отзывы, стаж — Принимает в Челябинске

Худякова Людмила Ивановна

Худякова Людмила Ивановна - фотография
стоматолог-ортопед
Стаж 35 лет
к.м.н., врач высшей категории
Худякова Людмила Ивановна принимает в «Стоматологическая клиника ЮУГМУ» в Челябинске. К.м.н., врач высшей категории, стаж 35 лет. Специализируется на ортопедии, по которой клиника оказывает 14 услуг. Имеет 5 работ до/после в портфолио. Квалификация специалиста подтверждена 9 лицензиями, сертификатами и наградами. Для уточнения дополнительной информации о специалисте или записи на прием можно позвонить по телефону
+7 (351)Показать телефон
.

Где принимает:

Кандидат мед.наук
Врач высшей категории
Опыт 35 лет
5 работ в портфолио
9 сертификатов

Награды

09.2010г. Решением совета стоматологической ассоциации России присвоено звание «Отличник стоматологии I степени»

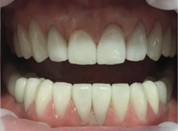
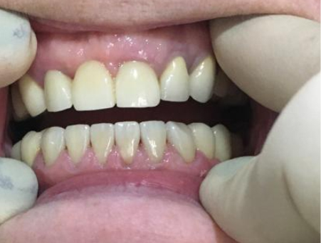
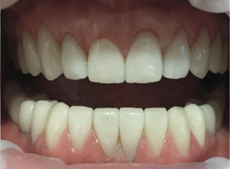
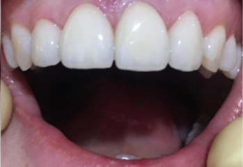
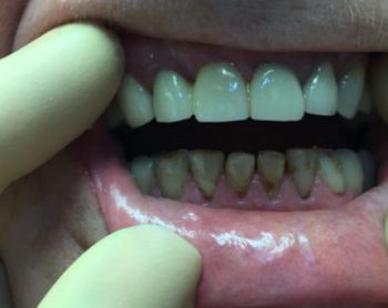
Худякова Людмила Ивановна: портфолио (5)

    Помогите другим сделать правильный выбор — оставьте свой отзыв о докторе
    Написать отзыв

    Услуги стоматолога в других клиниках

    Протезирование зубов
    Установка коронки на зуб от 6 600 ₽ до 44 500 ₽
    Установка протеза Акри Фри (Acry-Free) от 18 000 ₽ до 45 000 ₽
    Еще услуги