Стоматолог Цыганова Яна Сергеевна — цены, отзывы, стаж — Принимает в Челябинске

Цыганова Яна Сергеевна

Цыганова Яна Сергеевна - фотография
детский стоматолог
Стаж 37 лет
Цыганова Яна Сергеевна принимает в «Детская стоматология ВЭЛАДЕНТ ДЖУНИОР» в Челябинске. Стаж 37 лет. Специализируется на детской стоматологии, по которой клиника оказывает 12 услуг. Имеет 3 работы до/после в портфолио. Квалификация специалиста подтверждена 20 лицензиями, сертификатами и наградами. Для уточнения дополнительной информации о специалисте или записи на прием можно позвонить по телефону
+7 (351)Показать телефон
.

Где принимает:

20 сертификатов
3 работы в портфолио
Опыт 37 лет
    Помогите другим сделать правильный выбор — оставьте свой отзыв о докторе
    Написать отзыв

    Другие специалисты

    Услуги в других клиниках

    Наименование услуги Цена по городу
    Детская стоматология
    Удаление зубов у детей
    от 700 ₽ до 6 980 ₽
    (83 клиники)
    Удаление зубов у детей
    от 700 ₽ до 6 980 ₽
    (83 клиники)
    Еще услуги
    Профгигиена
    Фторирование зубов
    от 120 ₽ до 5 800 ₽
    (61 клиника)
    Фторирование зубов
    от 120 ₽ до 5 800 ₽
    (61 клиника)

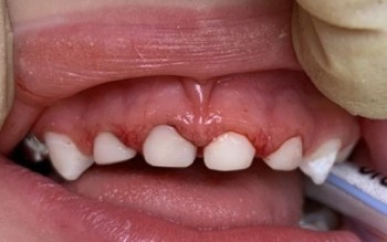
    Цыганова Яна Сергеевна: портфолио (3)