Стоматолог Балсанов Тумэн Галсанович — цены, отзывы, стаж — Принимает в Чите

Балсанов Тумэн Галсанович

Балсанов Тумэн Галсанович - фотография
стоматолог-ортопед
Стаж 20 лет
Балсанов Тумэн Галсанович принимает в «Сеть стоматологических клиник ДЕНТА ЛЮКС» в Чите. Стаж 20 лет. Специализируется на ортопедии. Для уточнения дополнительной информации о специалисте или записи на прием можно позвонить по телефону
+7 (3022)Показать телефон
.

Где принимает:

Опыт 20 лет
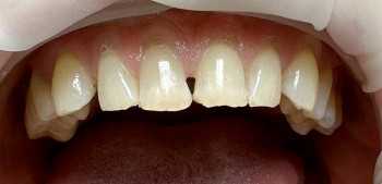
1 работа в портфолио

Балсанов Тумэн Галсанович: портфолио (1)

    Помогите другим сделать правильный выбор — оставьте свой отзыв о докторе
    Написать отзыв

    Услуги стоматолога в других клиниках

    Протезирование зубов
    Виды протезов
    Установка бюгельного протеза
    от 35 000 ₽ до 38 400 ₽
    Еще услуги