Стоматолог Чугунов Кирилл Сергеевич — цены, отзывы, стаж — Принимает в Екатеринбурге

Чугунов Кирилл Сергеевич

Чугунов Кирилл Сергеевич - фотография
стоматолог-хирург
стоматолог-имплантолог
Стаж 4 года
Чугунов Кирилл Сергеевич принимает в «Сеть клиник ПЕРВАЯ ЦИФРОВАЯ СТОМАТОЛОГИЯ» в Екатеринбурге. Стаж 4 года. Специализируется на хирургии и имплантологии, по которым клиника оказывает 17 услуг. Квалификация специалиста подтверждена 9 лицензиями, сертификатами и наградами. Для уточнения дополнительной информации о специалисте или записи на прием можно позвонить по телефону
+7 (343)Показать телефон
. Также 32top представляет форму онлайн расписания, через которую можно записаться к специалисту на свободную дату и время.

Где принимает:

9 сертификатов
1 работа в портфолио
Опыт 4 года

Отзывы о враче Чугунов Кирилл Сергеевич

Почему нашим отзывам можно доверять?
После приема Пациент записывался в клинику через 32top. После приёма мы позвонили ему и получили отзыв.
25 апреля 2024 г.
1 2 3 4 5
Данная стоматология действительно заслуживает похвалы и рекомендации. Особенно хочется отметить работу Чугунова Кирилла Сергеевича за качественное и безопасное удаление зуба. Я была приятно удивлена его спокойствием и профессионализмом во время процедуры. Одним из главных преимуществ этой клиники для меня является близкое расположение к моему дому, именно поэтому я и решила обратиться в эту стоматологию. Процесс наблюдения и лечения зубов я буду продолжать именно у доктора Чугунова, так как он зарекомендовал себя как высококлассный специалист. Уже запланировала с этим доктором начать процедуру протезирования. Готова рекомендовать данное место всем желающим!
    Помогите другим сделать правильный выбор — оставьте свой отзыв о докторе
    Написать отзыв

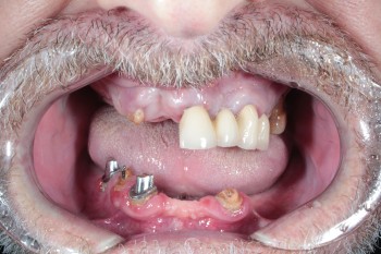
    Чугунов Кирилл Сергеевич: портфолио (1)

    Услуги стоматолога в других клиниках

    Протезирование зубов
    Установка коронки на зуб от 6 800 ₽ до 120 000 ₽
    Установка протеза Акри Фри (Acry-Free) от 10 000 ₽ до 65 000 ₽
    Еще услуги