Стоматолог Чихалина (Винокурова) Юлия Владимировна — цены, отзывы, стаж — Принимает в Екатеринбурге

Чихалина (Винокурова) Юлия Владимировна

Чихалина (Винокурова) Юлия Владимировна - фотография

5.0
Рейтинг: 5.0
Отзывов: 6
Положительных: 6
Отрицательных: 0
Последний : 289 дн. назад
6 отзывов
стоматолог-ортодонт
Стаж 14 лет
Чихалина (Винокурова) Юлия Владимировна принимает в «ЦЕНТР НЕМЕЦКОЙ СТОМАТОЛОГИИ» в Екатеринбурге. Стаж 14 лет. Специализируется на ортодонтии, по которой клиника оказывает 6 услуг. Имеет 4 работы до/после в портфолио. Квалификация специалиста подтверждена 4 лицензиями, сертификатами и наградами. Для уточнения дополнительной информации о специалисте или записи на прием можно позвонить по телефону
+7 (343)Показать телефон
. Занимает 6 место в рейтинге стоматологов-ортодонтов 32top в вашем городе.

Где принимает:

Опыт 14 лет
4 сертификата
4 работы в портфолио

Отзывы о враче Чихалина (Винокурова) Юлия Владимировна

Рейтинг: 5
Отзывов: 6
Положительных: 6
Отрицательных: 0
Последний: 289 дн. назад
5.0
Почему нашим отзывам можно доверять?
После приема Пациент записывался в клинику через 32top. После приёма мы позвонили ему и получили отзыв.
6 августа 2025 г.
1 2 3 4 5
Клиника понравилась. Была на консультации у Юлии Владимировны. Она ортодонт, сделала мне полный осмотр, снимки, составила план лечения. Сейчас я его прохожу. Сделала удаление одного зуба. Все прошло отлично, сейчас заживает десна. Цена в клинике адекватная.
27 сентября 2024 г.
1 2 3 4 5
Для меня это самая лучшая стоматология в Екатеринбурге. Я устанавливала здесь брекеты, и мой доктор, Юлия Владимировна Чихалина, — настоящий профессионал! Она очень доброжелательная, с ней приятно вести беседы, и мои зубы выровнялись за полтора года. Скоро у меня назначено снятие. Персонал клиники также очень приветливый и относится к пациентам с большим уважением. Зона ожидания комфортная, и там есть окно во всю стену, что действительно впечатляет.
После приема Пациент записывался в клинику через 32top. После приёма мы позвонили ему и получили отзыв.
8 ноября 2023 г.
1 2 3 4 5
Ортодонт Чихалина Юлия меняла мне дуги - космически нравится доктор! Я смотрела врача хорошего, выбирала из нескольких вариантов, нужен был именно хороший ортодонт. Юлия Владимировна меня полностью устраивает - профессионал и человек хороший! Ценовая политика в клинике подойдёт не всем, это да, потому рекомендовать эту клинику всем не могу, но если вам нужна качественно оказанная услуга за соответствующую цену - всегда пожалуйста!
После приема Пациент записывался в клинику через 32top. После приёма мы позвонили ему и получили отзыв.
17 июля 2023 г.
1 2 3 4 5
Вежливый персонал, профессиональные врачи, качественно делают своё дело. Посещала ортопеда, ставила брекеты, была у терапевта на чистке, у Юлии Владимировны. В самой клинике чисто, аккуратно, вежливый персонал, всегда предложат чай, кофе. Пойду в клинику ещё, готова порекомендовать.
После приема Пациент записывался в клинику через 32top. После приёма мы позвонили ему и получили отзыв.
12 июля 2023 г.
1 2 3 4 5
8-953-604-2312
Осталась довольна. Внимательный персонал, чистота помещения, уютно. Лечилась у терапевта Малининой Ирины Павловны и ортодонта Чихалиной Юлии, всё понравилось. Единственное, цены высоковаты, но за то качество, которое я получила в клинике - всё вполне достойно. Всем рекомендую!
После приема Пациент записывался в клинику через 32top. После приёма мы позвонили ему и получили отзыв.
4 июля 2023 г.
1 2 3 4 5
Устанавливала здесь брекеты у доктора Юлии Владимировны Чихалиной - меня всё устроило. Доброжелательная, внимательная, профессиональная. Ходила во многие клиники на консультации по установке брекетов, но почему-то именно эта запала в душу. Понравилось отношение к клиентам, видно, что врачи квалифицированные. В самой стоматологии всё отлично, комфортно. С записью, конечно, возникли некоторые трудности. Если нужно попасть прям сегодня, то это почти нереально, записываться нужно за месяц, на ближайшее число трудно найти свободное время. Но по работе всё устроило, цена также соответствует качеству. Уже успела посоветовать многим подружкам и друзьям.
Доброе утро! Благодарим за высокую оценку. Спасибо, что выбрали именно нас. Всегда рады встрече! С уважением, Центр Немецкой Стоматологии
    Помогите другим сделать правильный выбор — оставьте свой отзыв о докторе
    Написать отзыв

    Услуги врача (13)

    Ортодонтия
    Установка брекетов
    от 31 000 ₽ до 52 900 ₽ за 1 челюсть
    Снятие брекетов
    от 9 800 ₽ за 1 челюсть
    Установка элайнеров
    от 42 500 ₽ до 118 000 ₽ за обе челюсти
    Еще услуги
    Все цены носят ознакомительный характер. Точную цену вы сможете получить только после консультации специалиста.
    Звоните по телефону:
    +7 (343)Показать телефон

    О стоматологе

    Юлия Владимировна cпециализируется в областях:
    - расчета и анализа диагностических процедур;
    - лечения зубочелюстных аномалий в детском возрасте при помощи съемных и несъемных аппаратов;
    - ортодонтического лечения при помощи элайнеров;
    - ведения пациентов на брекет-системах (лигатурные, саморегулирующие, прямой и непрямой фиксацией);
    - ортодонтической подготовки к протезированию и имплантации зубов;
    - эстетической реконструкции зоны улыбки;
    - ортодонтического лечения с использованием скелетной опоры (ортоимплантов).

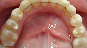
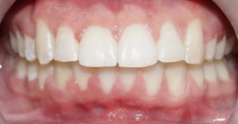
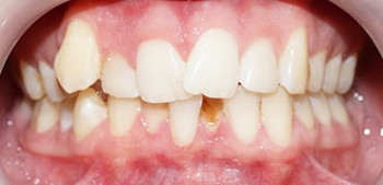
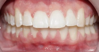
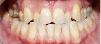
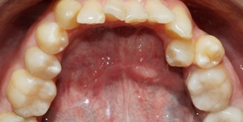
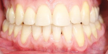
    Чихалина (Винокурова) Юлия Владимировна: портфолио (4)