Стоматолог Малухин Василий Леонидович — цены, отзывы, стаж — Принимает в Екатеринбурге

Малухин Василий Леонидович

Малухин Василий Леонидович - фотография
стоматолог-ортопед
Стаж 37 лет
Малухин Василий Леонидович принимает в «Стоматология ДЕНТА ЛЮКС» в Екатеринбурге. Стаж 37 лет. Специализируется на ортопедии, по которой клиника оказывает 11 услуг. Имеет 5 работ до/после в портфолио. Квалификация специалиста подтверждена 6 лицензиями, сертификатами и наградами. Для уточнения дополнительной информации о специалисте или записи на прием можно позвонить по телефону
+7 (922)Показать телефон
.

Где принимает:

6 сертификатов
Опыт 37 лет
5 работ в портфолио
    Помогите другим сделать правильный выбор — оставьте свой отзыв о докторе
    Написать отзыв

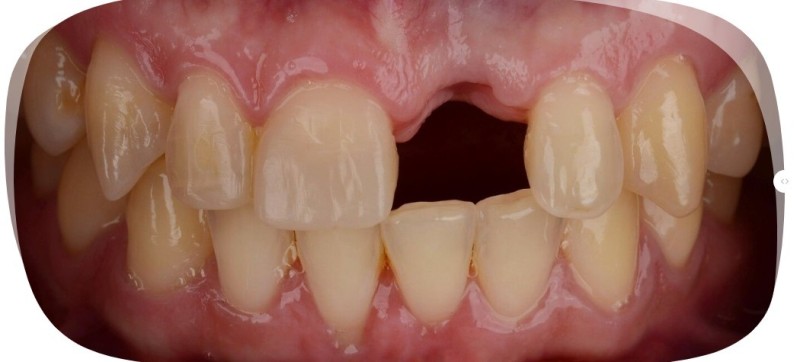
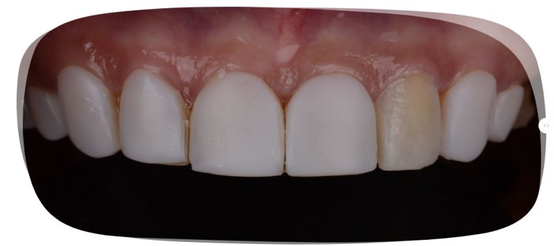
    Малухин Василий Леонидович: портфолио (5)

    Услуги стоматолога в других клиниках

    Эстетическая стоматология
    Установка виниров от 29 300 ₽ до 81 250 ₽
    Установка скайсов от 1 500 ₽ до 5 000 ₽
    Еще услуги
    Протезирование зубов
    Установка коронки на зуб от 6 800 ₽ до 120 000 ₽
    Установка протеза Акри Фри (Acry-Free) от 10 000 ₽ до 65 000 ₽
    Еще услуги