Стоматолог Малухин Никита Васильевич — цены, отзывы, стаж — Принимает в Екатеринбурге

Малухин Никита Васильевич

Малухин Никита Васильевич - фотография
стоматолог-хирург
стоматолог-имплантолог
Стаж 16 лет
главный врач
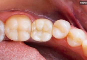
Малухин Никита Васильевич принимает в «Стоматология ДЕНТА ЛЮКС» в Екатеринбурге. Главный врач, стаж 16 лет. Специализируется на хирургии и имплантологии, по которым клиника оказывает 12 услуг. Имеет 2 работы до/после в портфолио. Квалификация специалиста подтверждена 20 лицензиями, сертификатами и наградами. Для уточнения дополнительной информации о специалисте или записи на прием можно позвонить по телефону
+7 (922)Показать телефон
.

Где принимает:

2 работы в портфолио
Главный врач
Опыт 16 лет
20 сертификатов
    Помогите другим сделать правильный выбор — оставьте свой отзыв о докторе
    Написать отзыв

    Стоматологические ассоциации

    • Стоматологическая Ассоциация России

    Малухин Никита Васильевич: портфолио (2)

    Услуги стоматолога в других клиниках

    Хирургическая стоматология
    Удаление зубов от 1 200 ₽ до 24 000 ₽
    Удаление кисты и гранулемы зуба от 1 000 ₽ до 34 200 ₽
    Еще услуги
    Имплантация
    Установка мини-импланта от 8 000 ₽ до 28 000 ₽
    Коронки на имплантах от 13 500 ₽ до 78 900 ₽
    Еще услуги