Стоматолог Шаталова (Колповская) Алина Александровна — цены, отзывы, стаж — Принимает в Екатеринбурге

Шаталова (Колповская) Алина Александровна

Шаталова (Колповская) Алина Александровна - фотография
стоматолог-терапевт
Стаж 16 лет
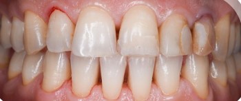
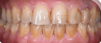
Шаталова (Колповская) Алина Александровна принимает в «Стоматология ДЕНТА ЛЮКС» в Екатеринбурге. Стаж 16 лет. Специализируется на терапии, по которой клиника оказывает 14 услуг. Имеет 9 работ до/после в портфолио. Квалификация специалиста подтверждена 7 лицензиями, сертификатами и наградами. Для уточнения дополнительной информации о специалисте или записи на прием можно позвонить по телефону
+7 (922)Показать телефон
.

Где принимает:

Опыт 16 лет
9 работ в портфолио
7 сертификатов
    Помогите другим сделать правильный выбор — оставьте свой отзыв о докторе
    Написать отзыв

    Шаталова (Колповская) Алина Александровна: портфолио (9)

    Услуги стоматолога в других клиниках

    Терапевтическая стоматология
    Лечение кариеса от 3 500 ₽ до 14 650 ₽
    Лечение пульпита от 5 000 ₽ до 35 000 ₽
    Еще услуги