Стоматолог Бодрова Ирина Алексеевна — цены, отзывы, стаж — Принимает в Екатеринбурге

Бодрова Ирина Алексеевна

Бодрова Ирина Алексеевна - фотография
стоматолог-терапевт
детский стоматолог
Стаж 16 лет
врач высшей категории
Бодрова Ирина Алексеевна принимает в «Детская стоматология АТИС ФАБЕР КИДС» в Екатеринбурге. Врач высшей категории, стаж 16 лет. Специализируется на терапии и детской стоматологии, по которым клиника оказывает 14 услуг. Имеет 4 работы до/после в портфолио. Для уточнения дополнительной информации о специалисте или записи на прием можно позвонить по телефону
+7 (343)Показать телефон
.

Где принимает:

Врач высшей категории
4 работы в портфолио
Опыт 16 лет
    Помогите другим сделать правильный выбор — оставьте свой отзыв о докторе
    Написать отзыв

    О стоматологе

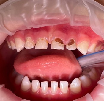
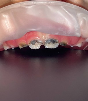
    Ирина Алексеевна вышивает крестиком, обожает готовить вкусняшки (тортики, пирожники), путешествовать в разные страны, коллекционирует подушки оранжевого цвета из разных стран, периодически занимается спортивным радиорентированием и даже имеет КМС! Ирина Алексеевна прекрасно и бережно адаптирует маленьких пациентов к лечению. Проводит лечение детей с сопутствующими патологиями. Комфортное и аккуратное лечение пациентов в седации (закись азота) и в условиях общего обезболивания (в наркозе). Лечение кариеса, пульпита, периодонтита молочных и временных зубов, удаление временных и постоянных зубов, герметизация фиссур, восстановление разрушенных зубов коронками, помощь при травме зубов.

    Бодрова Ирина Алексеевна: портфолио (4)

    Услуги стоматолога в других клиниках

    Терапевтическая стоматология
    Лечение кариеса от 3 500 ₽ до 14 650 ₽
    Лечение пульпита от 5 000 ₽ до 35 000 ₽
    Еще услуги
    Детская стоматология
    Лечение молочных зубов от 1 900 ₽ до 7 900 ₽
    Удаление зубов у детей от 570 ₽ до 5 875 ₽
    Еще услуги