Стоматолог Ошмяга Александр Викторович — цены, отзывы, стаж — Принимает в Екатеринбурге

Ошмяга Александр Викторович

Ошмяга Александр Викторович - фотография
стоматолог-ортопед
стоматолог-хирург
стоматолог-имплантолог
Стаж 24 года
Ошмяга Александр Викторович принимает в «Сеть стоматологий ГАРАНТ» в Екатеринбурге. Стаж 24 года. Специализируется на ортопедии, хирургии и имплантологии, по которым клиника оказывает 7 услуг. Имеет 2 работы до/после в портфолио. Квалификация специалиста подтверждена 10 лицензиями, сертификатами и наградами. Для уточнения дополнительной информации о специалисте или записи на прием можно позвонить по телефону
+7 (343)Показать телефон
.

Где принимает:

10 сертификатов
2 работы в портфолио
Опыт 24 года

Отзывы о враче Ошмяга Александр Викторович

Почему нашим отзывам можно доверять?
31 августа 2021 г.
1 2 3 4 5
Обратилась в стоматологию на Красных Командиров с болью, сил терпеть не было, болела вся челюсть. Оценив ситуацию и посмотрев снимки КТ врач вынесла вердикт - удалять зуб мудрости, т.к. боль была именно от него. Записалась на удаление к Александру Викторовичу. Не спав две ночи, еле собравшись с силами и мыслями я дошла.... С первой минуты встречи с доктором страх пропал, безболезненный укол и через три минуты я была свободна. Настолько четко и грамотно, я даже не поняла что зуб удалён. Огромное спасибо чудесному человеку и доктору)
Здравствуйте! Спасибо. Нам очень приятно получать отзывы, в которых высоко оценивают работу наших врачей. Прекрасного здоровья!
    Помогите другим сделать правильный выбор — оставьте свой отзыв о докторе
    Написать отзыв

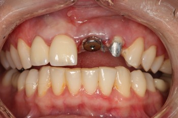
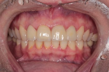
    Ошмяга Александр Викторович: портфолио (2)

    Услуги стоматолога в других клиниках

    Хирургическая стоматология
    Удаление зубов от 1 200 ₽ до 24 000 ₽
    Удаление кисты и гранулемы зуба от 1 000 ₽ до 34 200 ₽
    Еще услуги
    Протезирование зубов
    Установка коронки на зуб от 6 800 ₽ до 120 000 ₽
    Установка протеза Акри Фри (Acry-Free) от 10 000 ₽ до 65 000 ₽
    Еще услуги
    Имплантация
    Установка мини-импланта от 8 000 ₽ до 28 000 ₽
    Коронки на имплантах от 13 500 ₽ до 78 900 ₽
    Еще услуги