Стоматолог Костин Александр Олегович — цены, отзывы, стаж — Принимает в Екатеринбурге

Костин Александр Олегович

Костин Александр Олегович - фотография

5.0
Рейтинг: 5.0
Отзывов: 6
Положительных: 6
Отрицательных: 0
Последний : 333 дн. назад
6 отзывов
стоматолог-ортопед
стоматолог-имплантолог
Стаж 13 лет
Костин Александр Олегович принимает в «ЦЕНТР НЕМЕЦКОЙ СТОМАТОЛОГИИ» в Екатеринбурге. Стаж 13 лет. Специализируется на ортопедии и имплантологии, по которым клиника оказывает 19 услуг. Имеет 9 работ до/после в портфолио. Для уточнения дополнительной информации о специалисте или записи на прием можно позвонить по телефону
+7 (343)Показать телефон
. Занимает 15 место в рейтинге стоматологов-имплантологов 32top в вашем городе. Также 32top представляет форму онлайн расписания, через которую можно записаться к специалисту на свободную дату и время.

Где принимает:

9 работ в портфолио
Опыт 13 лет
1 сертификат

Отзывы о враче Костин Александр Олегович

Рейтинг: 5
Отзывов: 6
Положительных: 6
Отрицательных: 0
Последний: 333 дн. назад
5.0
Почему нашим отзывам можно доверять?
23 июня 2025 г.
1 2 3 4 5
Хочу отметить работу Александра Олеговича Костина. Обратился к нему за консультацией по зубопротезированию, и он проявил себя как настоящий профессионал. Тщательно изучив состояние моих зубов и дёсен, предложил оптимальный план протезирования. Результат меня очень порадовал!
12 декабря 2024 г.
1 2 3 4 5
Отличная стоматология, всё чётко и красиво. Был на консультации у Александра Олеговича, спасибо ему большое. Обратился к нему насчёт протезирования, он посмотрел мои зубы и дёсны, составил план лечения, всё сделали хорошо. Если есть вопросы, их быстро решают, врач отличный.
После приема Пациент записывался в клинику через 32top. После приёма мы позвонили ему и получили отзыв.
6 декабря 2022 г.
1 2 3 4 5
Очень хорошее отношение персонала, внимательные. Не каждый день делаешь имплантацию. В клинике очень много различных современных инструментов, принтеров, сканеров. Доктора составляют весь план процедур, все объясняют. Евгений Александрович выполнял удаление и имплантацию. Александр Олегович установил коронки. Хочу отметить мастерство врачей. Не думал, что коронки встанут как влитые, буквально за 1 примерку. Удаление и имплантация прошли хорошо, не больно, быстро, без осложнений. Рекомендую клинику и врачей.
Доброе утро! Благодарим за высокую оценку. Спасибо, что выбрали именно нас. Всегда рады встрече! С уважением, Центр Немецкой Стоматологии
11 октября 2022 г.
1 2 3 4 5
После операции по установке имплантов я чувствовала себя отлично.
Для меня это безупречная стоматология во всех отношениях. Мне понравилось внимание персонала, профессионализм врачей, высокое качество работы. После операции по установке имплантов я чувствовала себя отлично. Был момент, уже дома долго не останавливалась кровь. Я позвонила на ресепшен и через короткое время мне перезвонил врач, дал все необходимые рекомендации. Здесь очень заботятся о пациентах. На приеме чувствовала себя комфортно. По личным обстоятельствам приходилось менять время приема, но мне всегда шли навстречу. Мне повезло лечиться у таких замечательных врачей как Евгений Александрович, Владимир Дмитриевич, Александр Олегович. От себя хочу пожелать процветания клинике.
После приема Пациент записывался в клинику через 32top. После приёма мы позвонили ему и получили отзыв.
3 октября 2022 г.
1 2 3 4 5
Я вместе с супругой проходил лечение в этой стоматологии. Хорошая клиника, приятный персонал, приемлемые цены, на мой взгляд. Мне поставили импланты, никаких проблем не возникло. После операции мне звонили с ресепшена и интересовались самочувствием, что очень приятно. Поблагодарить хочу Дмитриева Владимира и Костина Александра. Лечение мое закончено, результатом доволен.
29 июля 2020 г.
1 2 3 4 5
Так получилось, что я потеряла передний зуб. Ввиду некоторых обстоятельств, имплант поставить мне не удалось. Я обратилась в клинику "Гелиосдент", к врачу стоматологу-ортопеду Костину А. О., для того, чтобы поставить зубной мост. Доктор все мне подробно объяснил, мы решили ставить мост из циркония. Спасибо Костину А. О. за мои новые красивые зубки. Теперь я могу спокойно улыбаться, мои новые зубы ничем не отличаются от настоящих, если не знать, что у меня мост, никогда не поймёшь, что зубы не мои. Все манипуляции: подготовка, спиливание зубов, примерки, прошли практически безболезненно, хотя я очень боялась. Рекомендую клинику "Гелиосдент" и в частности врача Костина А. О..
    Помогите другим сделать правильный выбор — оставьте свой отзыв о докторе
    Написать отзыв

    Услуги врача (84)

    Эстетическая стоматология
    Отбеливание зубов
    от 9 000 ₽ до 37 000 ₽ за обе челюсти
    Наращивание зубов
    Установка виниров
    от 18 000 ₽ за 1 зуб
    Еще услуги
    Протезирование зубов
    Установка коронки на зуб
    Установка протеза Акри Фри (Acry-Free)
    Ремонт зубных протезов
    Еще услуги
    Имплантация
    Имплантация зубов под ключ
    Установка мини-импланта
    от 12 000 ₽ за 1 зуб
    Коронки на имплантах
    от 18 000 ₽ до 22 000 ₽ за 1 зуб
    Еще услуги
    Все цены носят ознакомительный характер. Точную цену вы сможете получить только после консультации специалиста.
    Звоните по телефону:
    +7 (343)Показать телефон

    О стоматологе

    Специализируется на:
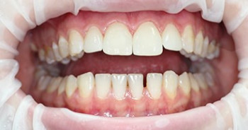
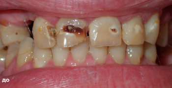
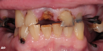
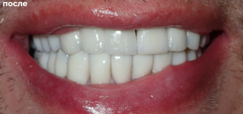
    - всех видах протезирования одиночных коронок (керамика, цирконий, безметалловая керамика);
    - мостовидных протезах;
    - частично съёмных протезах (бюгельные, на замковых креплениях протезы);
    - протезировании на имплантатах;
    - винирах.

    Костин Александр Олегович: портфолио (9)