Стоматолог Лосева Елена Леонидовна — цены, отзывы, стаж — Принимает в Екатеринбурге

Лосева Елена Леонидовна

Лосева Елена Леонидовна - фотография

5.0
Рейтинг: 5.0
Отзывов: 3
Положительных: 3
Отрицательных: 0
Последний : 689 дн. назад
3 отзыва
стоматолог-ортопед
Стаж 27 лет
Лосева Елена Леонидовна принимает в «Современная стоматология ГЕЛИОСДЕНТ НА КУЗНЕЦОВА» в Екатеринбурге. Стаж 27 лет. Специализируется на ортопедии, по которой клиника оказывает 9 услуг. Квалификация специалиста подтверждена 13 лицензиями, сертификатами и наградами. Для уточнения дополнительной информации о специалисте или записи на прием можно позвонить по телефону
+7 (343)Показать телефон
. Также 32top представляет форму онлайн расписания, через которую можно записаться к специалисту на свободную дату и время.

Где принимает:

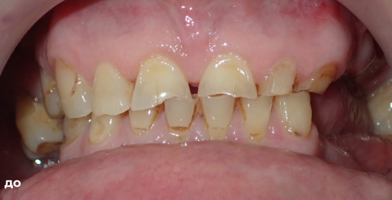
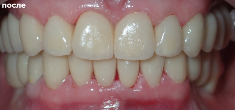
1 работа в портфолио
Опыт 27 лет
13 сертификатов

Отзывы о враче Лосева Елена Леонидовна

Рейтинг: 5
Отзывов: 3
Положительных: 3
Отрицательных: 0
Последний: 689 дн. назад
5.0
Пациенты отмечают:
Профессионализм
Тщательный осмотр
Лечение помогло
Почему нашим отзывам можно доверять?
3 июля 2024 г.
1 2 3 4 5
Благодарю Елену Леонидовну за профессионализм, очень грамотный доктор, лечит и протезирует хорошо и не больно, рекомендую всем своим знакомым Лосеву Е.Л
Здравствуйте! Спасибо, что оценили работу врача на отлично. Рады, что проблема осталась в прошлом. Берегите себя и будьте здоровы! С уважением, администрация стоматологической клиники "ГЕЛИОСДЕНТ".
23 сентября 2020 г.
1 2 3 4 5
Елена Леонидовна очень понравилась, замечательный специалист! Внимательна и компетентна! Результатом доволен полностью! Дальнейшее лечение буду проходить только у неё!
8 мая 2019 г.
1 2 3 4 5
Являясь пациентом с 2014 года тронута добрым, внимательным отношением клиники. Благодарна врачам Чепчугову А.С. и Лосевой Е.Л. и мед. сестрам. Большое Спасибо!
    Помогите другим сделать правильный выбор — оставьте свой отзыв о докторе
    Написать отзыв

    Услуги врача (6)

    Эстетическая стоматология
    Установка виниров
    Протезирование зубов
    Установка коронки на зуб
    Установка бюгельного протеза
    от 55 810 ₽ за 1 челюсть
    Установка мостовидного протеза
    Еще услуги
    Все цены носят ознакомительный характер. Точную цену вы сможете получить только после консультации специалиста.
    Звоните по телефону:
    +7 (343)Показать телефон

    Лосева Елена Леонидовна: портфолио (1)