Стоматолог Кундель Ольга Витальевна — цены, отзывы, стаж — Принимает в Екатеринбурге

Кундель Ольга Витальевна

Кундель Ольга Витальевна - фотография

4.9
Рейтинг: 4.9
Отзывов: 6
Положительных: 6
Отрицательных: 0
Последний : 49 дн. назад
6 отзывов
стоматолог-терапевт
стоматолог-эндодонтист
Стаж 11 лет
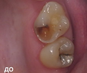
Кундель Ольга Витальевна принимает в «Современная стоматология ГЕЛИОСДЕНТ НА КУЗНЕЦОВА» в Екатеринбурге. Стаж 11 лет. Специализируется на терапии и эндодонтическом лечении, по которым клиника оказывает 11 услуг. Имеет 3 работы до/после в портфолио. Квалификация специалиста подтверждена 23 лицензиями, сертификатами и наградами. Для уточнения дополнительной информации о специалисте или записи на прием можно позвонить по телефону
+7 (343)Показать телефон
. Также 32top представляет форму онлайн расписания, через которую можно записаться к специалисту на свободную дату и время.

Где принимает:

Топ 30 в рейтинге
Опыт 11 лет
3 работы в портфолио
23 сертификата

Отзывы о враче Кундель Ольга Витальевна

Рейтинг: 4.835
Отзывов: 6
Положительных: 6
Отрицательных: 0
Последний: 49 дн. назад
4.9
Пациенты отмечают:
Профессионализм
Вежливость
Аккуратность
Почему нашим отзывам можно доверять?
После приема Пациент записывался в клинику через 32top. После приёма мы позвонили ему и получили отзыв.
3 апреля 2026 г.
1 2 3 4 5
В клинику обращаюсь уже не первый раз. Была там лет 5 назад у хорошего стоматолога Кундель Ольги, вылечила она мне зубы, и я довольна. Сейчас тоже обратилась к ней же с больным зубом. Она провела мне лечение и поставила пломбу, зуб перестал болеть. Я довольна результатом и качеством.
Здравствуйте! Благодарим вас за отзыв и за доверие, которое вы оказываете нашей клинике на протяжении многих лет! Нам очень приятно, что вы снова обратились к Ольге Витальевне и остались довольны результатом лечения. Мы обязательно передадим ей ваши тёплые слова. Рады, что удалось устранить боль и восстановить зуб. Для нас важно, чтобы каждый наш пациент чувствовал себя комфортно и получал квалифицированную помощь. Будем рады видеть вас снова и всегда готовы помочь! С уважением, администрация стоматологической клиники "ГЕЛИОСДЕНТ"
22 сентября 2025 г.
1 2 3 4 5
Долго находился в поиске хорошей клиники и хорошего стоматолога. В результате остановился на Гелиос Дент. Внутри клиники ходил к 2 специалистам. В результате был доволен, но с оговорками. В итоге оказался на приеме у Кундель Ольги Витальевны. и, что называется, "почувствовал разницу". Во первых врач умеет помочь избежать малейшего дискомфорта в полости рта. Движения рук, инструмента, отличаются от других врачей, даже внутри клиники. ( у некоторых врачей мне зажимали губы инструментом, рваные движения рук и тд) Во вторых Кундель О.В. просто отлично умеет "шлифовать" пломбы. При чем всегда, по моей просьбе, подшлифовывала пломбы, которые ставили другие стоматологи. В своей работе использует микроскоп. В Гелиос Денте не все работают с этим инструментом. Думаю это о чем-то, да говорит.
Здравствуйте! Большое спасибо за Ваш отзыв о работе нашей клиники и нашего врача Кундель Ольги Витальевны. Нам приятно слышать, что Ольга Витальевна продемонстрировала высокий профессионализм, внимательность и чуткое отношение. Для нас важно, чтобы каждый пациент чувствовал себя комфортно и получал квалифицированную помощь. Желаем Вам крепкого здоровья и надеемся на дальнейшее сотрудничество. С уважением, администрация стоматологической клиники "ГЕЛИОСДЕНТ"
После приема Пациент записывался в клинику через 32top. После приёма мы позвонили ему и получили отзыв.
16 октября 2023 г.
1 2 3 4 5
Уже давно знакома и с этой клиникой, и со специалистами, что тут работают. С 2008 года занимаюсь тут протезами, всё всегда было хорошо. Но в последний раз что-то, видимо, пошло не так. Заболел зуб, сняли снимки, доктор Ольга Витальевна зуб осмотрела, почистили. Всё равно болит - пришла опять, теперь уже к доктору Светлане Александровне - посмотрели, сказали на среду записаться на удаление. До среды не дотерпела - удалили в другой клинике. Думаю, можно было сразу, ещё на первом приёме увидеть, что нужно было ещё тогда сразу рвать зуб, а не затягивать до серьёзных последствий. По имплантации и протезированию всех направляла сюда, а вот с лечением - беда. Со съёмными протезами всё идеально, а раз зуб вырвали - нужен будет новый протез - пойду опять сюда.
Здравствуйте! Спасибо, что нашли время написать такой подробный отзыв. У доктора могут возникнуть сомнения в результатах обследований и иногда нужны дополнительные исследования, чтобы поставить точный диагноз. Учтём ваши замечания и станем ещё лучше. Надеемся, что в будущем посещение клиники оставит только приятные впечатления. Будьте здоровы! С Уважением, администрация стоматологической клиники ГЕЛИОСДЕНТ.
После приема Пациент записывался в клинику через 32top. После приёма мы позвонили ему и получили отзыв.
1 декабря 2022 г.
1 2 3 4 5
В клинике мне все нравится. У меня два доктора Кундель Ольга, которая занимается лечением. И Плотникова Ольга, которая удаляла зуб мудрости. Лечение у доктора проходит отлично, все рассказывает и комментирует. Вылеченные зубы не беспокоят. Удаления я очень боялась, но Ольга Геннадьевна мне все рассказала, все объяснила и стало спокойнее. Удаление прошло быстро, без осложнений. Вообще легко как-то. Я рада, что все так быстро и безболезненно. Зажило все хорошо. Персонал хорошо обслуживает клиентов, нет никаких накладок и задержек. Пока что все нравится, всем рекомендую.
Здравствуйте! Очень благодарны вам за детальное описание. Наши врачи Кундель Ольга Витальевна и Плотникова Ольга Геннадьевна действительно специалисты высокого уровня. Рады, что вам удалось в этом убедиться. Будьте здоровы и счастливы! С Уважением, администрация стоматологической клиники "ГЕЛИОСДЕНТ".
После приема Пациент записывался в клинику через 32top. После приёма мы позвонили ему и получили отзыв.
17 июля 2022 г.
1 2 3 4 5
Клиника чистая, хороший ремонт, нет никаких вопросов к обслуживающему персоналу, всё на уровне. Обратилась изначально за установкой виниров. Доктор Овсепян Нарек провел консультацию и осмотр. Сказал что перед установкой виниров нужно пролечить зубы. Мне сделали снимок и оказалось что нужно запломбировать 1 канал. Лечение проводила Кундель Ольга. Еще была на чистке у Буваковой Дарьи. Виниры уже установлены. Все выглядит красиво, аккуратно, естественно. Очень довольна результатом, всем рекомендую
Спасибо! Такие отзывы позволяют нам гордиться своей работой. Мы очень радуемся, если нам удаётся изменить жизнь пациента в лучшую сторону. Докторам будет приятно узнать, что их работа вызвала столько положительных эмоций. Здоровья и благополучия вам и вашим близким! С Уважением, администрация стоматологической клиники "ГЕЛИОСДЕНТ".
4 июня 2021 г.
1 2 3 4 5
Спасибо, Ольге Витальевне! Она прекрасно знает свое дело! Спасла мой зуб! И помощница врача умеет подбодрить, а главное, тоже хорошо знает свое дело. А ещё с ними приятно общаться) Спасибо!
    Помогите другим сделать правильный выбор — оставьте свой отзыв о докторе
    Написать отзыв

    Услуги врача (5)

    Терапевтическая стоматология
    Лечение кариеса
    Лечение пульпита
    от 11 800 ₽ за 1 зуб
    Установка пломбы
    Еще услуги
    Все цены носят ознакомительный характер. Точную цену вы сможете получить только после консультации специалиста.
    Звоните по телефону:
    +7 (343)Показать телефон

    Кундель Ольга Витальевна: портфолио (3)