Стоматолог Сашенко (Старикова) Татьяна Викторовна — цены, отзывы, стаж — Принимает в Екатеринбурге

Сашенко (Старикова) Татьяна Викторовна

Сашенко (Старикова) Татьяна Викторовна - фотография

5.0
Рейтинг: 5.0
Отзывов: 2
Положительных: 2
Отрицательных: 0
Последний : 1552 дн. назад
2 отзыва
стоматолог-гигиенист
Стаж 8 лет
Сашенко (Старикова) Татьяна Викторовна принимает в «Лечебно-исследовательский центр МКС СТОМАТОЛОГИЯ» в Екатеринбурге. Стаж 8 лет. Специализируется на гигиене полости рта, по которой клиника оказывает 4 услуги. Имеет 18 работ до/после в портфолио. Для уточнения дополнительной информации о специалисте или записи на прием можно позвонить по телефону
+7 (343)Показать телефон
. Также 32top представляет форму онлайн расписания, через которую можно записаться к специалисту на свободную дату и время.

Где принимает:

Опыт 8 лет
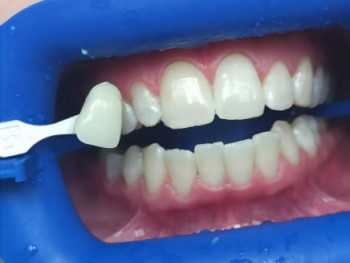
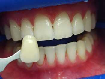
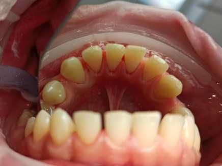
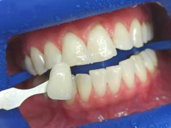
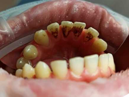
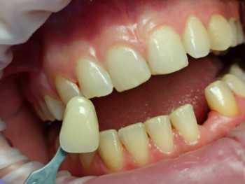
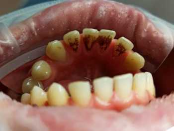
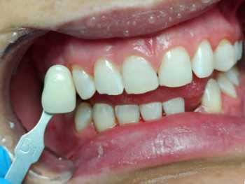
18 работ в портфолио

Отзывы о враче Сашенко (Старикова) Татьяна Викторовна

Рейтинг: 5
Отзывов: 2
Положительных: 2
Отрицательных: 0
Последний: 1552 дн. назад
5.0
Почему нашим отзывам можно доверять?
21 февраля 2022 г.
1 2 3 4 5
После того как был исправлен неправильный прикус и сняты брекеты, мой доктор порекомендовала провести либо отбеливание зубов, либо профгигиену. Ознакомилась со стоимостью услуг, выбрала вариант гигиены. На приеме у Татьяны Викторовны получила подробную консультацию и советы, узнала, какие продукты лучше ограничить или совсем исключить, чтобы с зубами не было проблем. Сама процедура показалась недолгой, все почистили, удалили ультразвуком камни, использовали спец. гель, которым покрыли зубы. Сейчас внешний вид зубов просто отличный. Очень довольна, что воспользовалась этой услугой, и отдельная благодарность Татьяне Викторовне!
29 октября 2019 г.
1 2 3 4 5
Была на профессиональной гигиене у Стариковой Татьяны, все очень понравилось, она настоящий профессионал своего дела, перед началом все обьяснила, рассказала как будет проходить гигиена, рассказала где нужно лучше зубки прочищать, о каждых дальнейших действиях предупреждала заранее, все прошло быстро, а самое главное безболезненно. Огромное спасибо Татьяне Викторовне!! Всем советую данную клинику, теперь только к ним!!))
    Помогите другим сделать правильный выбор — оставьте свой отзыв о докторе
    Написать отзыв

    Услуги врача (5)

    Профгигиена
    Чистка зубов Air-flow
    Удаление зубного камня
    Эстетическая стоматология
    Отбеливание зубов
    от 35 800 ₽ до 40 000 ₽ за 1 челюсть
    Отбеливание Zoom
    Лазерное отбеливание
    от 35 800 ₽ вся полость
    Все цены носят ознакомительный характер. Точную цену вы сможете получить только после консультации специалиста.
    Звоните по телефону:
    +7 (343)Показать телефон

    Сашенко (Старикова) Татьяна Викторовна: портфолио (18)

    Акции и скидки клиники МКС СТОМАТОЛОГИЯ (20)