Стоматолог Пенкин Иван Николаевич — цены, отзывы, стаж — Принимает в Екатеринбурге

Пенкин Иван Николаевич

Пенкин Иван Николаевич - фотография
стоматолог-ортопед
Стаж 10 лет
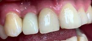
Пенкин Иван Николаевич принимает в «Стоматологическая клиника ЭТТИКА» в Екатеринбурге. Стаж 10 лет. Специализируется на ортопедии, по которой клиника оказывает 8 услуг. Имеет 9 работ до/после в портфолио. Квалификация специалиста подтверждена 6 лицензиями, сертификатами и наградами. Для уточнения дополнительной информации о специалисте или записи на прием можно позвонить по телефону
+7 (343)Показать телефон
.

Где принимает:

6 сертификатов
Опыт 10 лет
9 работ в портфолио
    Помогите другим сделать правильный выбор — оставьте свой отзыв о докторе
    Написать отзыв

    Пенкин Иван Николаевич: портфолио (9)

    Услуги стоматолога в других клиниках

    Протезирование зубов
    Установка коронки на зуб от 6 800 ₽ до 120 000 ₽
    Виды протезов
    Еще услуги