Стоматолог Панфилова Татьяна Евгеньевна — цены, отзывы, стаж — Принимает в Екатеринбурге

Панфилова Татьяна Евгеньевна

Панфилова Татьяна Евгеньевна - фотография
стоматолог-терапевт
стоматолог-гигиенист
пародонтолог
Стаж 15 лет
Панфилова Татьяна Евгеньевна принимает в «Стоматологическая клиника АВЕОНА» в Екатеринбурге. Стаж 15 лет. Специализируется на терапии, гигиене полости рта и пародонтологии, по которым клиника оказывает 13 услуг. Имеет 17 работ до/после в портфолио. Квалификация специалиста подтверждена 20 лицензиями, сертификатами и наградами. Для уточнения дополнительной информации о специалисте или записи на прием можно позвонить по телефону
+7 (800)Показать телефон
.

Где принимает:

Опыт 15 лет
20 сертификатов
17 работ в портфолио
    Помогите другим сделать правильный выбор — оставьте свой отзыв о докторе
    Написать отзыв

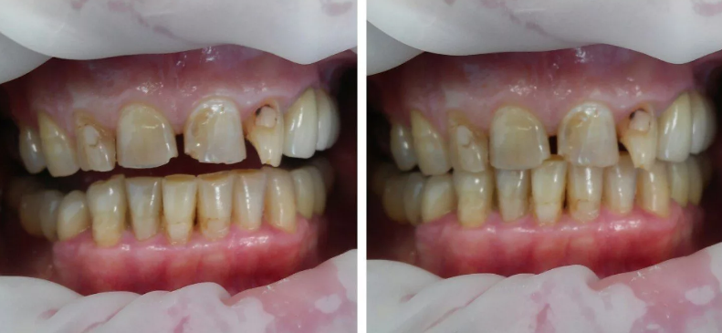
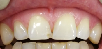
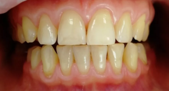
    Панфилова Татьяна Евгеньевна: портфолио (17)

    Услуги стоматолога в других клиниках

    Диагностика
    Консультация стоматолога от 1 ₽ до 3 000 ₽
    Терапевтическая стоматология
    Лечение кариеса от 3 500 ₽ до 14 650 ₽
    Лечение пульпита от 5 000 ₽ до 35 000 ₽
    Еще услуги
    Эстетическая стоматология
    Установка скайсов от 1 500 ₽ до 5 000 ₽
    Виды отбеливания
    Еще услуги
    Пародонтология
    Лечение пародонтита от 350 ₽ до 35 000 ₽
    Лечение пародонтоза от 350 ₽ до 25 750 ₽
    Еще услуги