Стоматолог Чопурова Сабина Гизирхановна — цены, отзывы, стаж — Принимает в Екатеринбурге

Чопурова Сабина Гизирхановна

Чопурова Сабина Гизирхановна - фотография

4.5
Рейтинг: 4.5
Отзывов: 2
Положительных: 2
Отрицательных: 0
Последний : 2031 дн. назад
2 отзыва
детский стоматолог
детский стоматолог-ортопед
детский стоматолог-гигиенист
Стаж 9 лет
Чопурова Сабина Гизирхановна принимает в «Современная стоматология ГЕЛИОСДЕНТ НА ПОБЕДЫ» в Екатеринбурге. Стаж 9 лет. Специализируется на детской стоматологии, по которым клиника оказывает 7 услуг. Имеет 4 работы до/после в портфолио. Квалификация специалиста подтверждена 6 лицензиями, сертификатами и наградами. Для уточнения дополнительной информации о специалисте или записи на прием можно позвонить по телефону
+7 (343)Показать телефон
. Также 32top представляет форму онлайн расписания, через которую можно записаться к специалисту на свободную дату и время.

Где принимает:

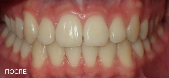
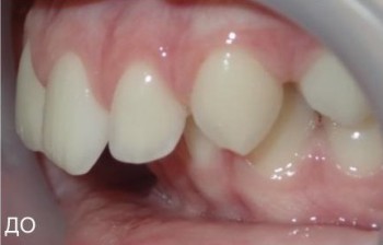
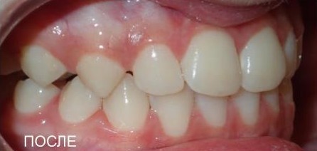
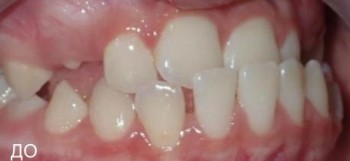
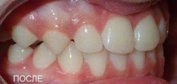
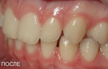
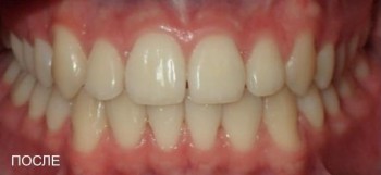
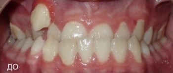
4 работы в портфолио
Опыт 9 лет
6 сертификатов

Отзывы о враче Чопурова Сабина Гизирхановна

Рейтинг: 4.5
Отзывов: 2
Положительных: 2
Отрицательных: 0
Последний: 2031 дн. назад
4.5
Почему нашим отзывам можно доверять?
25 сентября 2020 г.
1 2 3 4 5
Пришла к Сабине Гизирхановне пару лет назад и очень(!) рада, что мой стоматолог именно она. Отношение к пациенту просто прекрасное и качество лечения отличное. К ней не боишься идти на прием, ведь доверяешь и уверен, что она хорошо знает свою работу.
24 сентября 2020 г.
1 2 3 4 5
Спасибо огромное Сабине Гизирхановне!!! Терпеливая, тактичная, чувствуется профессиональный врач! К ребёнку нашла подход быстро. Никакой грубости! Спасибо огромное за внимание и профессиональное лечение! Рекомендую!
    Помогите другим сделать правильный выбор — оставьте свой отзыв о докторе
    Написать отзыв

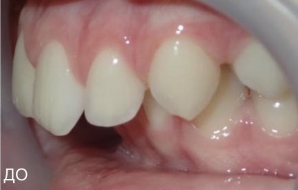
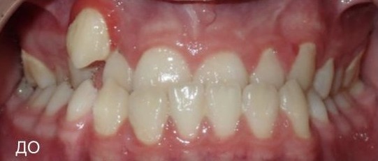
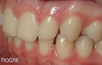
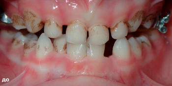
    Чопурова Сабина Гизирхановна: портфолио (4)

    Услуги стоматолога в других клиниках

    Детская стоматология
    Лечение молочных зубов от 1 900 ₽ до 7 900 ₽
    Удаление зубов у детей от 570 ₽ до 5 875 ₽
    Еще услуги