Стоматолог Абакарова Наталья Юрьевна — цены, отзывы, стаж — Принимает в Екатеринбурге

Абакарова Наталья Юрьевна

Абакарова Наталья Юрьевна - фотография
стоматолог-ортодонт
детский ортодонт
Стаж 9 лет
Абакарова Наталья Юрьевна принимает в «Сеть клиник ПЕРВАЯ ЦИФРОВАЯ СТОМАТОЛОГИЯ» в Екатеринбурге. Стаж 9 лет. Специализируется на ортодонтии, по которым клиника оказывает 9 услуг. Квалификация специалиста подтверждена 4 лицензиями, сертификатами и наградами. Для уточнения дополнительной информации о специалисте или записи на прием можно позвонить по телефону
+7 (343)Показать телефон
. Также 32top представляет форму онлайн расписания, через которую можно записаться к специалисту на свободную дату и время.

Где принимает:

4 сертификата
1 работа в портфолио
Опыт 9 лет

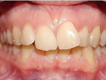
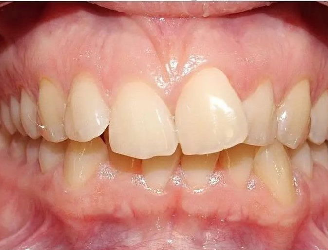
Абакарова Наталья Юрьевна: портфолио (1)

    Помогите другим сделать правильный выбор — оставьте свой отзыв о докторе
    Написать отзыв

    Услуги стоматолога в других клиниках

    Ортодонтия
    Установка брекетов от 18 500 ₽ до 156 250 ₽
    Снятие брекетов от 1 000 ₽ до 43 750 ₽
    Еще услуги