Стоматолог Сайпеев Кирилл Алексеевич — цены, отзывы, стаж — Принимает в Екатеринбурге

Сайпеев Кирилл Алексеевич

Сайпеев Кирилл Алексеевич - фотография
стоматолог-ортопед
Стаж 16 лет
к.м.н., главный врач
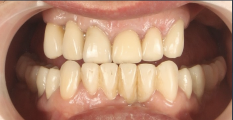
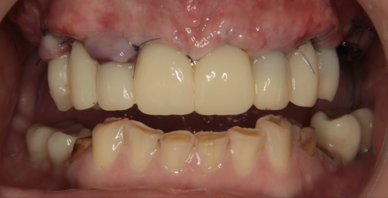
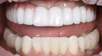
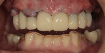
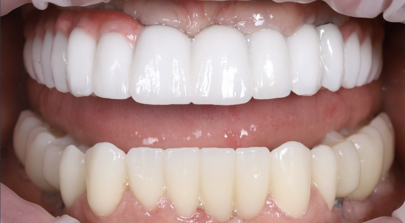
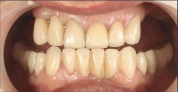
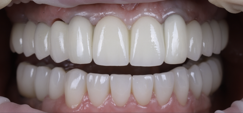
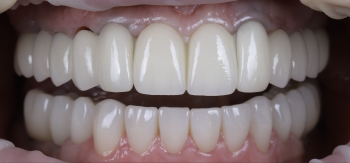
Сайпеев Кирилл Алексеевич принимает в «Клиника стоматологии и ортодонтии АЛЬФА» в Екатеринбурге. К.м.н., главный врач, стаж 16 лет. Специализируется на ортопедии, по которой клиника оказывает 10 услуг. Имеет 2 работы до/после в портфолио. Квалификация специалиста подтверждена 3 лицензиями, сертификатами и наградами. Для уточнения дополнительной информации о специалисте или записи на прием можно позвонить по телефону
+7 (343)Показать телефон
.

Где принимает:

Кандидат мед.наук
2 работы в портфолио
Опыт 16 лет
3 сертификата
Главный врач
    Помогите другим сделать правильный выбор — оставьте свой отзыв о докторе
    Написать отзыв

    Сайпеев Кирилл Алексеевич: портфолио (2)

    Услуги стоматолога в других клиниках

    Протезирование зубов
    Установка коронки на зуб от 6 800 ₽ до 120 000 ₽
    Установка протеза Акри Фри (Acry-Free) от 10 000 ₽ до 65 000 ₽
    Еще услуги