Стоматолог Сайпеева Мария Михайловна — цены, отзывы, стаж — Принимает в Екатеринбурге

Сайпеева Мария Михайловна

Сайпеева Мария Михайловна - фотография
стоматолог-ортодонт
Стаж 15 лет
Сайпеева Мария Михайловна принимает в «Клиника стоматологии и ортодонтии АЛЬФА» в Екатеринбурге. К.м.н., стаж 15 лет. Специализируется на ортодонтии, по которой клиника оказывает 9 услуг. Имеет 4 работы до/после в портфолио. Квалификация специалиста подтверждена 5 лицензиями, сертификатами и наградами. Для уточнения дополнительной информации о специалисте или записи на прием можно позвонить по телефону
+7 (343)Показать телефон
.

Где принимает:

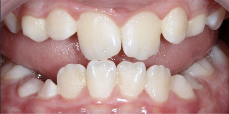
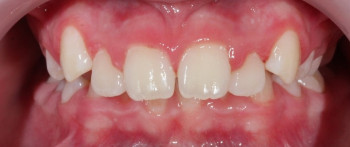
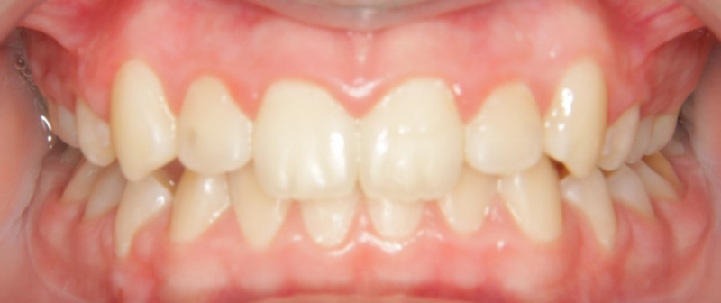
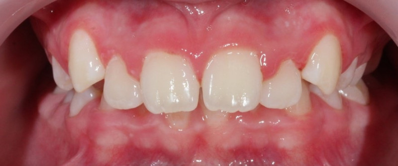
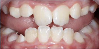
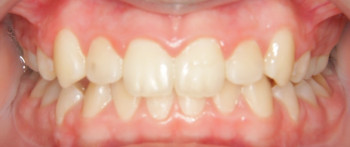
4 работы в портфолио
Кандидат мед.наук
5 сертификатов
Опыт 15 лет

Отзывы о враче Сайпеева Мария Михайловна

Почему нашим отзывам можно доверять?
26 февраля 2022 г.
1 2 3 4 5
Поделюсь своей историей. Для тех, кто торопится - я довольна лечением, однозначно рекомендую! В 2020 году после беременности появился кариес на нескольких зубах. При этом до беременности ни разу у стоматолога не была, зубы никогда не беспокоили. И даже после родов зубы в принципе не болели, несмотря на этот кариес. Но я решила не запускать их состояние и обратилась в эту клинику по рекомендации знакомых. Тогда Стоматология находилась еще на Виз - бульваре. Сейчас продолжаю посещать их на Татищева (по новому адресу мне даже больше нравится - свободная парковка !) К сути: Меня посмотрели (вернее мои зубки), за несколько приёмов провели лечение, убрали кариес, поставили пломбы, сделали чистку (или как там это называется), зубы стали заметно белее после этого кстати. Терапевта моего звали Ирина, очень быстро работала, и безболезненно я боялась, что будет больно , неприятно, изматывающе, растянется до бесконечности (все-таки было аж 8 кариозных зубов)... вообще страхи не оправдались. Иногда приём вёл другой терапевт, не помню имени, но тоже все очень хорошо делал. В целом мне все понравилось, чисто, удобно, вежливо. Иногда бывало, что я не могла явиться на приём из-за маленького ребёнка, без проблем переносили на другое подходящее время. Помимо этого, после общения с врачами, я захотела эстетически привести улыбку в порядок. У меня с детства был неправильный прикус, из-за этого впоследствии немного стёрлись нижние зубы. Ещё давно выросли восьмерки и остальным зубам стало тесно, пошёл сдвиг передних зубов. В итоге верхние клыки сильно выпирали, передние зубы стояли внахлест. Не критично, конечно, ничего не болело, 30 лет ходила и так, но всегда стеснялась улыбаться из-за кривых передних зубов и выпирающих клыков. Мне предложили исправить прикус и навести красоту. Выбрала лечение на эллайнерах, хоть это и дороже, но я посчитала, что это удобнее брекетов и быстрее в моем случае. Ношу каппы уже 1,5 года, периодически хожу на контрольные приемы, процесс выравнивания зубов идёт к завершению, моя улыбка заметно красивее и скоро будет вообще огонь! Маму привела в эту клинику на протезирование, она тоже довольна. Там вообще сложный рот, если можно так выразиться. Тоже проблемы с прикусом, стертые зубы и до кучи ещё неудачные попытки лечения в других стоматологиях. Почти никогда не пишу отзывы, честно - лень тратить время на это. Но здесь врачи превзошли все мои ожидания и захотелось их поблагодарить. Спасибо большое терапевтам, которые избавили меня от кариеса, хирургу, который убрал мешающие восьмерки, и конечно же - Марии Михайловне, главной волшебнице клиники, именно она делает мне голливудскую улыбку
    Помогите другим сделать правильный выбор — оставьте свой отзыв о докторе
    Написать отзыв

    Сайпеева Мария Михайловна: портфолио (4)

    Услуги стоматолога в других клиниках

    Ортодонтия
    Установка брекетов от 18 500 ₽ до 156 250 ₽
    Снятие брекетов от 1 000 ₽ до 43 750 ₽
    Еще услуги