Стоматолог Булыгин Олег Владимирович — цены, отзывы, стаж — Принимает в Екатеринбурге

Булыгин Олег Владимирович

Булыгин Олег Владимирович - фотография

5.0
Рейтинг: 5.0
Отзывов: 2
Положительных: 2
Отрицательных: 0
Последний : 363 дн. назад
2 отзыва
стоматолог-терапевт
стоматолог-хирург
стоматолог-имплантолог
Стаж 43 года
врач высшей категории
Булыгин Олег Владимирович принимает в «Центр лечения заболевания пародонта НПО» в Екатеринбурге. Врач высшей категории, стаж 43 года. Специализируется на терапии, хирургии и имплантологии, по которым клиника оказывает 26 услуг. Для уточнения дополнительной информации о специалисте или записи на прием можно позвонить по телефону
+7 (343)Показать телефон
.

Где принимает:

Опыт 43 года
Врач высшей категории
1 работа в портфолио

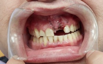
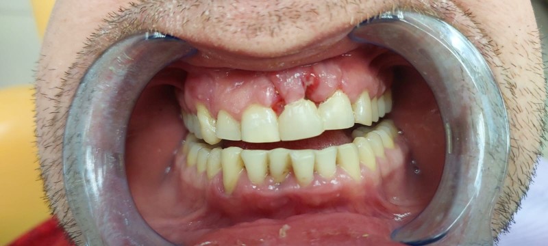
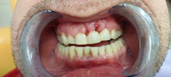
Булыгин Олег Владимирович: портфолио (1)

Отзывы о враче Булыгин Олег Владимирович

Рейтинг: 5
Отзывов: 2
Положительных: 2
Отрицательных: 0
Последний: 363 дн. назад
5.0
Почему нашим отзывам можно доверять?
21 мая 2025 г.
1 2 3 4 5
Обратилась в клинику с целью удаления разрушенного зуба. Врач Олег Владимирович Булыгин внимательно изучил все снимки и проконсультировал по предстоящему удалению. Для меня эта особая проблема - пью гору таблеток, и среди них коагулянты, тормозящие сворачиваемость крови. Но Олег Владимирович заверил, что все пройдет по плану - с такими больными он знает как работать. Анестезия​ была поставлена молниеносно и безболезненно. Зуб удален по частям, процедура прошла вообще без боли. А для меня это важно. После процедуры был сделан контрольный снимок, где врач убедился, что все осколки удалены полностью. После процедуры мне дали приложить холод, измерили артериальное давление, предложили таблетку, чтобы обезболить после окончания анестезии. Вот это - настоящая забота о пациенте! Спустя пару дней могу констатировать - нет отеков и вообще каких либо неприятных последствий.
Спасибо, что обратились к нам. Наш опыт позволяет решать сложные проблемы пациентов.
3 сентября 2017 г.
1 2 3 4 5
Всем доброго дня! Удалял 3 зуба подряд у Олега Владимировича. Первым заходом верхние зубы мудрости, а затем, через неделю, один нижний. За все время операции рука его ни разу не дрогнула. Верхние зубы вышли "как по учебнику" (с его слов), хотя корни и имели непрямую форму. С нижним же пришлось "повоевать". Продолжительная операция завершилась победой. Остатки зуба были удалены без осколков и дробления. Рана очень аккуратно обработана. В целом, хочу отметить очень высокий уровень квалификации данного хирурга. После операции он выдал все рекомендации по уходу и профилактике. Через 2 недели принял на повторный осмотр. Готов рекомендовать Олега Владимировича всем. Через несколько месяцев планирую пойти к нему на имплантацию. - - - - - Шел "к кому попаду", и очень рад, что попал к профессионалу высшего класса
    Помогите другим сделать правильный выбор — оставьте свой отзыв о докторе
    Написать отзыв

    Услуги стоматолога в других клиниках

    Хирургическая стоматология
    Удаление зубов от 1 200 ₽ до 24 000 ₽
    Удаление кисты и гранулемы зуба от 1 000 ₽ до 34 200 ₽
    Еще услуги