Стоматолог Киселёва Любовь Александровна — цены, отзывы, стаж — Принимает в Екатеринбурге

Киселёва Любовь Александровна

Киселёва Любовь Александровна - фотография
стоматолог-ортодонт
Стаж 14 лет
Киселёва Любовь Александровна принимает в «Современная стоматология ГЕЛИОСДЕНТ НА КУЗНЕЦОВА» в Екатеринбурге. Стаж 14 лет. Специализируется на ортодонтии, по которой клиника оказывает 9 услуг. Имеет 4 работы до/после в портфолио. Квалификация специалиста подтверждена 2 лицензиями, сертификатами и наградами. Для уточнения дополнительной информации о специалисте или записи на прием можно позвонить по телефону
+7 (343)Показать телефон
. Также 32top представляет форму онлайн расписания, через которую можно записаться к специалисту на свободную дату и время.

Где принимает:

2 сертификата
Опыт 14 лет
4 работы в портфолио

Отзывы о враче Киселёва Любовь Александровна

Почему нашим отзывам можно доверять?
После приема Пациент записывался в клинику через 32top. После приёма мы позвонили ему и получили отзыв.
12 мая 2026 г.
1 2 3 4 5
Клинику и врача выбрала по отзывам в интернете. Была на консультации у ортодонта Любови Александровны. Приятная врач, информативная консультация, опытная и внимательная. Предложила лечение элайнерами, объяснила весь процесс лечения, сказала, какой она видит результат в конце лечения, назвала стоимость. Меня все устроило, буду продолжать лечение.
Здравствуйте! Спасибо за ваш отзыв и доверие к нашей клинике! Очень рады, что консультация у Любови Александровны оставила у вас положительное впечатление. Спасибо, что отметили внимательность врача, подробные объяснения и понятный подход к лечению. Желаем вам комфортного лечения и будем рады сопровождать вас на пути к красивой улыбке! С уважением, администрация стоматологической клиники "ГЕЛИОСДЕНТ"
    Помогите другим сделать правильный выбор — оставьте свой отзыв о докторе
    Написать отзыв

    Услуги врача (24)

    Терапевтическая стоматология
    Лечение периодонтита
    от 13 550 ₽ за 1 зуб
    Ортодонтия
    Установка брекетов
    от 43 450 ₽ за 1 челюсть
    Снятие брекетов
    от 5 000 ₽ за 1 челюсть
    Установка элайнеров
    от 105 060 ₽ на 1 челюсть
    Еще услуги
    Пародонтология
    Лечение пародонтита
    Лечение пародонтоза
    Лечение аппаратом Вектор
    от 6 800 ₽ в области 1 зуба
    Еще услуги
    Все цены носят ознакомительный характер. Точную цену вы сможете получить только после консультации специалиста.
    Звоните по телефону:
    +7 (343)Показать телефон

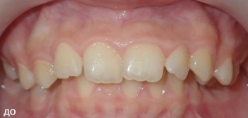
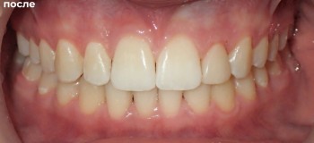
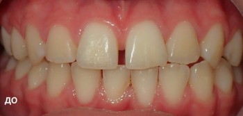
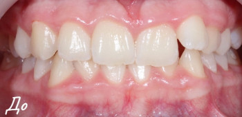
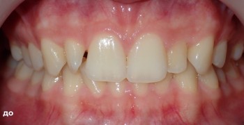
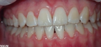
    Киселёва Любовь Александровна: портфолио (4)