Стоматолог Бикбулатов Владлен Флоритович — цены, отзывы, стаж — Принимает в Екатеринбурге

Бикбулатов Владлен Флоритович

Бикбулатов Владлен Флоритович - фотография
стоматолог-ортопед
Стаж 15 лет
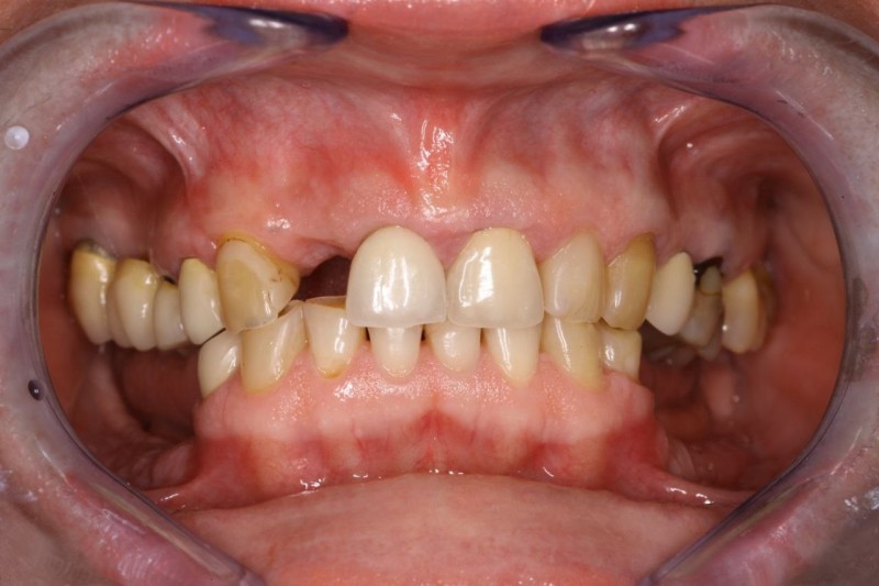
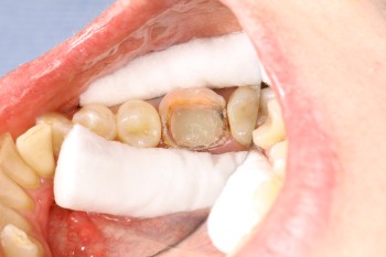
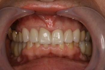
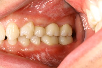
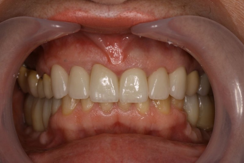
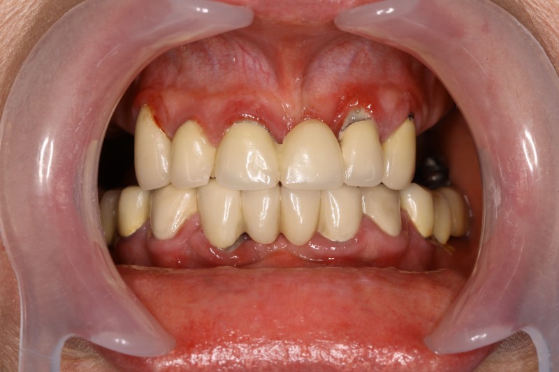
Бикбулатов Владлен Флоритович принимает в «Стоматология 3-Е ПОКОЛЕНИЕ» в Екатеринбурге. Стаж 15 лет. Специализируется на ортопедии, по которой клиника оказывает 20 услуг. Имеет 8 работ до/после в портфолио. Квалификация специалиста подтверждена 11 лицензиями, сертификатами и наградами.

Где принимает:

11 сертификатов
3 видеоотзыва
8 работ в портфолио
Опыт 15 лет
    Помогите другим сделать правильный выбор — оставьте свой отзыв о докторе
    Написать отзыв

    Бикбулатов Владлен Флоритович: портфолио (8)

    Услуги стоматолога в других клиниках

    Протезирование зубов
    Установка коронки на зуб от 6 800 ₽ до 120 000 ₽
    Установка протеза Акри Фри (Acry-Free) от 10 000 ₽ до 65 000 ₽
    Еще услуги