Стоматолог Закиров Тарас Валерьевич — цены, отзывы, стаж — Принимает в Екатеринбурге

Закиров Тарас Валерьевич

Закиров Тарас Валерьевич - фотография
стоматолог-хирург
пародонтолог
Стаж 24 года
Закиров Тарас Валерьевич принимает в «СТОМАТОЛОГИЧЕСКАЯ ПОЛИКЛИНИКА УГМУ» в Екатеринбурге. К.м.н., стаж 24 года. Специализируется на хирургии и пародонтологии, по которым клиника оказывает 17 услуг. Для уточнения дополнительной информации о специалисте или записи на прием можно позвонить по телефону
+7 (343)Показать телефон
.

Где принимает:

1 работа в портфолио
Опыт 24 года
Кандидат мед.наук

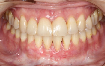
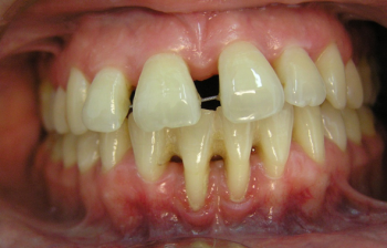
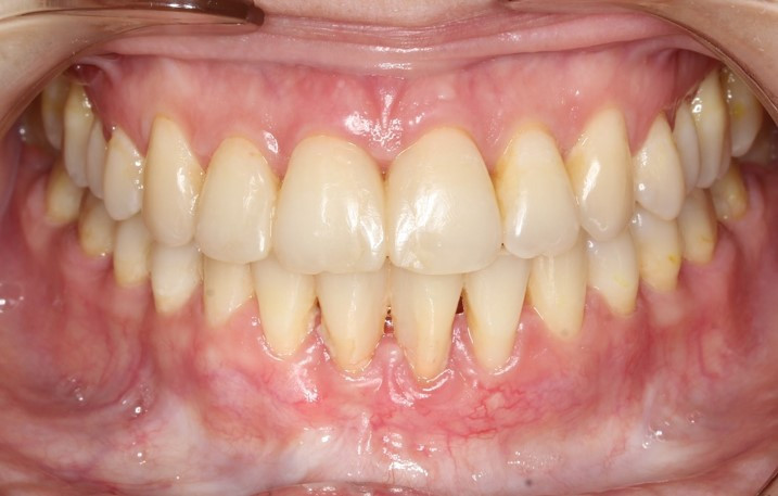
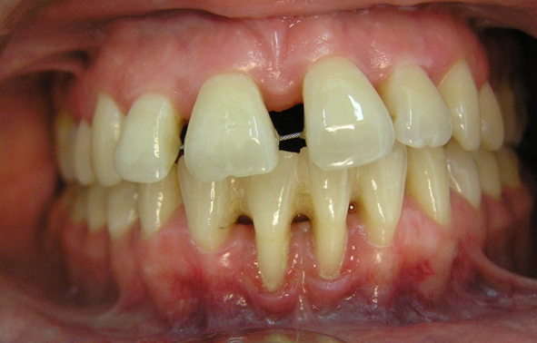
Закиров Тарас Валерьевич: портфолио (1)

    Помогите другим сделать правильный выбор — оставьте свой отзыв о докторе
    Написать отзыв

    Услуги стоматолога в других клиниках

    Пародонтология
    Лечение пародонтита от 350 ₽ до 35 000 ₽
    Лечение пародонтоза от 350 ₽ до 25 750 ₽
    Еще услуги
    Хирургическая стоматология
    Удаление зубов от 1 200 ₽ до 24 000 ₽
    Удаление кисты и гранулемы зуба от 1 000 ₽ до 34 200 ₽
    Еще услуги