Харина Надежда Николаевна
Стаж
14 лет
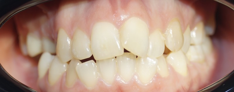
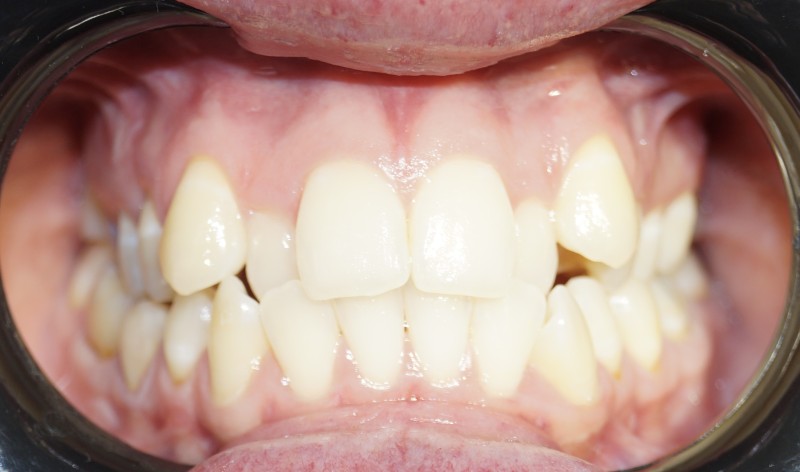
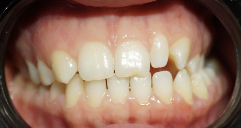
Харина Надежда Николаевна принимает в «Стоматология БЕЛЫЙ КОФЕ» в Хабаровске. Стаж 14 лет. Специализируется на ортодонтии, по которой клиника оказывает 5 услуг. Имеет 3 работы до/после в портфолио. Квалификация специалиста подтверждена 17 лицензиями, сертификатами и наградами. Для уточнения дополнительной информации о специалисте или записи на прием можно позвонить по телефону
+7 (4212)Показать телефон
. Занимает 10 место в рейтинге стоматологов-ортодонтов 32top в вашем городе. Также 32top представляет форму онлайн расписания, через которую можно записаться к специалисту на свободную дату и время.
Где принимает:
17 сертификатов
Опыт 14 лет
3 работы в портфолио
Отзывы о враче Харина Надежда Николаевна
Каждый отзыв проходит тщательную проверку Если у нас есть сомнения в достоверности, мы проводим дополнительную проверку: связываемся с автором отзыва и запрашиваем документы, подтверждающие факт посещения клиники.
30% отзывов не проходят модерацию Мы не размещаем и не допускаем к публикации заказные отзывы.
Собираем отзывы после приёма Наш колл-центр получает отзывы у пациентов, записавшихся на приём через 32top.