Стоматолог Суханова Инесса Викторовна — цены, отзывы, стаж — Принимает в Иркутске

Суханова Инесса Викторовна

Суханова Инесса Викторовна - фотография
стоматолог-терапевт
Стаж 18 лет
Суханова Инесса Викторовна принимает в «Стоматология ЛАЙК СТОМ» в Иркутске. Стаж 18 лет. Специализируется на терапии, по которой клиника оказывает 20 услуг. Имеет 3 работы до/после в портфолио. Для уточнения дополнительной информации о специалисте или записи на прием можно позвонить по телефону
+7 (950)Показать телефон
.

Где принимает:

Опыт 18 лет
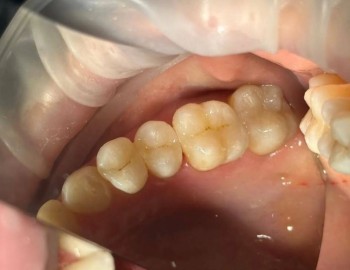
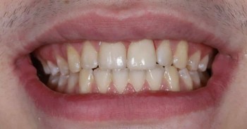
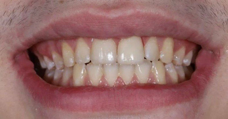
3 работы в портфолио
    Помогите другим сделать правильный выбор — оставьте свой отзыв о докторе
    Написать отзыв

    Суханова Инесса Викторовна: портфолио (3)

    Услуги стоматолога в других клиниках

    Терапевтическая стоматология
    Лечение кариеса от 3 500 ₽ до 11 040 ₽
    Лечение пульпита от 5 000 ₽ до 30 200 ₽
    Еще услуги