Стоматолог Лунёв Сергей Витальевич — цены, отзывы, стаж — Принимает в Иркутске

Лунёв Сергей Витальевич

Лунёв Сергей Витальевич - фотография

5.0
Рейтинг: 5.0
Отзывов: 21
Положительных: 21
Отрицательных: 0
Последний : 303 дн. назад
21 отзыв
стоматолог-терапевт
стоматолог-ортопед
Стаж 34 года
Лунёв Сергей Витальевич принимает в «Стоматологическая клиника АЛЬФА ДЕНТ» в Иркутске. Стаж 34 года. Специализируется на терапии и ортопедии, по которым клиника оказывает 43 услуги. Имеет 12 работ до/после в портфолио. Опыт подтверждён 21 отзывом пациентов, из которых 21 положительный. Для уточнения дополнительной информации о специалисте или записи на прием можно позвонить по телефону
+7 (902)Показать телефон
. Занимает 20 место в рейтинге стоматологов вашего города.

Где принимает:

Топ 20 в рейтинге
1 сертификат
12 работ в портфолио
Опыт 34 года

Награды врача

Топ-10 по итогам Народного рейтинга 2024

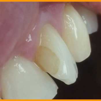
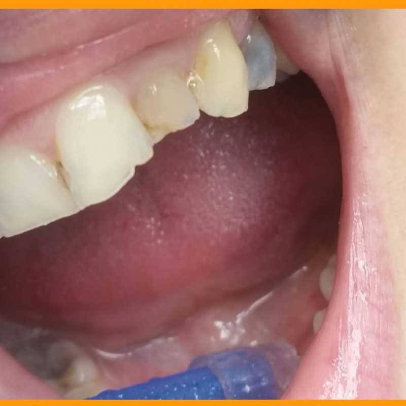
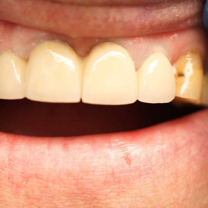
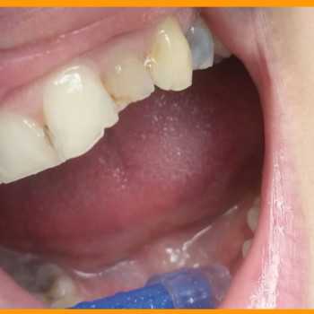
Лунёв Сергей Витальевич: портфолио (12)

Отзывы о враче Лунёв Сергей Витальевич

Рейтинг: 5
Отзывов: 21
Положительных: 21
Отрицательных: 0
Последний: 303 дн. назад
5.0
Почему нашим отзывам можно доверять?
20 июля 2025 г.
1 2 3 4 5
С женой уже не раз обращались в эту клинику - довольны на все 100%! Сергей Витальевич - настоящий мастер своего дела, лечит качественно и аккуратно. Цены, конечно, иногда высоковаты, но ведь здоровье зубов важнее. Продолжаем лечиться только у него!
19 июня 2025 г.
1 2 3 4 5
Лечил кариес у Сергея Витальевича, остался очень доволен. Всё сделали быстро, аккуратно и без дискомфорта. Врач подробно объяснил, что было с зубом и как избежать проблем в будущем. Цена соответствовала качеству. Рекомендую!
9 февраля 2025 г.
1 2 3 4 5
Уже более 8 лет я обращаюсь в эту клинику для лечения зубов. Цены здесь нормальные. Доктор Лунев Сергей - настоящий профессионал.
12 января 2025 г.
1 2 3 4 5
Уже более 10 лет я посещаю клинику, где работает стоматолог Сергей Витальевич. Претензий никаких. Этот специалист является очень грамотным и приятным человеком, который всегда пунктуален и постоянно совершенствуется. Цены здесь вполне приемлемы. Желания сменить врача и клинику не было, так как и предпосылок для этого нет. Стоматологию для обращения рекомендую.
13 декабря 2024 г.
1 2 3 4 5
Искренне рекомендую врача Сергея Витальевича - профессионала своего дела! Цены умеренные, в некоторых случаях даже ниже чем в других клиниках. Рекомендую данного врача.
25 февраля 2024 г.
1 2 3 4 5
Лечила два зуба в стоматологической клинике "Альфа-Дент" у Лунёва Сергея Витальевича. понравилась все: расположение клиники, своя парковка, быстро и не больно Сергей Витальевич поставил две пломбы. Я очень довольна, спасибо.
26 января 2024 г.
1 2 3 4 5
Прохожу лечение и наблюдение более 5 лет. Довольна результатом. Один нарощенный зуб, на который врач дал гарантию полгода, стоит 5 лет. Всем рекомендую !
После приема Пациент записывался в клинику через 32top. После приёма мы позвонили ему и получили отзыв.
10 ноября 2022 г.
1 2 3 4 5
Я тут удаляла зуб. Врач Лунёв С.В. Комфортно, не больно, все с пояснениями, после были даны рекомендации. Осложнений в период заживления не было. Планирую записаться снова на лечение.
После приема Пациент записывался в клинику через 32top. После приёма мы позвонили ему и получили отзыв.
26 сентября 2022 г.
1 2 3 4 5
В клинике была 1 раз. Нашла через интернет, понравились отзывы. Менеджеры быстро среагировали, записали на прием. У меня было простое лечение кариеса. Доктор Сергей Витальевич все сделал аккуратно, больно не было. То что я хотела получить - я получила. Осталась довольна лечением, обратилась бы снова.
После приема Пациент записывался в клинику через 32top. После приёма мы позвонили ему и получили отзыв.
2 августа 2022 г.
1 2 3 4 5
В стоматологии чисто, аккуратно, доброжелательные сотрудники. На консультацию меня приняли по времени, записали на прием быстро. Консультацию провел Сергей Витальевич. Доктор рассказал какое требуется лечение, протезирование. Сказал стоимость и порядок действий. Доктор понравился, цена приемлемая. Планирую проходить лечение тут.
    Помогите другим сделать правильный выбор — оставьте свой отзыв о докторе
    Написать отзыв

    Услуги стоматолога в других клиниках

    Терапевтическая стоматология
    Лечение кариеса от 3 500 ₽ до 12 600 ₽
    Лечение пульпита от 5 000 ₽ до 30 200 ₽
    Еще услуги
    Протезирование зубов
    Установка коронки на зуб от 4 500 ₽ до 55 850 ₽
    Виды протезов
    Еще услуги