Стоматолог Гильмутдинова Людмила Владимировна — цены, отзывы, стаж — Принимает в Ижевске

Гильмутдинова Людмила Владимировна

Гильмутдинова Людмила Владимировна - фотография
стоматолог-ортодонт
Стаж 18 лет
Гильмутдинова Людмила Владимировна принимает в «Стоматологическая клиника МАЭСТРО» в Ижевске. Стаж 18 лет. Специализируется на ортодонтии, по которой клиника оказывает 10 услуг. Имеет 2 работы до/после в портфолио. Квалификация специалиста подтверждена 10 лицензиями, сертификатами и наградами. Для уточнения дополнительной информации о специалисте или записи на прием можно позвонить по телефону
+7 (3412)Показать телефон
.

Где принимает:

10 сертификатов
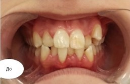
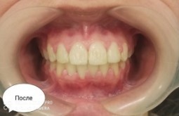
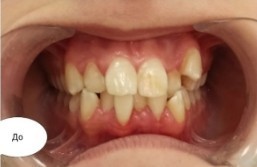
2 работы в портфолио
Опыт 18 лет

Гильмутдинова Людмила Владимировна: портфолио (2)

Отзывы о враче Гильмутдинова Людмила Владимировна

Почему нашим отзывам можно доверять?
После приема Пациент записывался в клинику через 32top. После приёма мы позвонили ему и получили отзыв.
18 мая 2023 г.
1 2 3 4 5
Хорошая клиника. Вежливое обслуживание, приняли вовремя. Чисто, комфортно находиться. Были с ребенком на консультации по установке пластины. Гильмутдинова Людмила все доходчиво и понятно объяснила, сказала стоимость. Будем здесь проходить лечение, все устроило.
    Помогите другим сделать правильный выбор — оставьте свой отзыв о докторе
    Написать отзыв

    Услуги стоматолога в других клиниках

    Ортодонтия
    Установка брекетов от 35 000 ₽ до 303 600 ₽
    Установка пластинок на зубы от 6 000 ₽ до 22 000 ₽
    Еще услуги