Стоматолог Ильин Станислав Юрьевич — цены, отзывы, стаж — Принимает в Ижевске

Ильин Станислав Юрьевич

Ильин Станислав Юрьевич - фотография
стоматолог-ортопед
Стаж 15 лет
Ильин Станислав Юрьевич принимает в «Стоматология БЕЛЫЙ КЛЫК» в Ижевске. Стаж 15 лет. Специализируется на ортопедии, по которой клиника оказывает 25 услуг. Имеет 8 работ до/после в портфолио. Квалификация специалиста подтверждена 39 лицензиями, сертификатами и наградами. Для уточнения дополнительной информации о специалисте или записи на прием можно позвонить по телефону
+7 (912)Показать телефон
.

Где принимает:

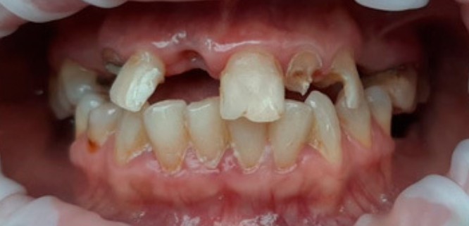
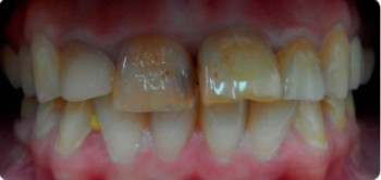
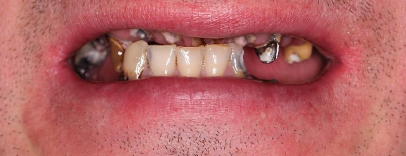
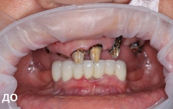
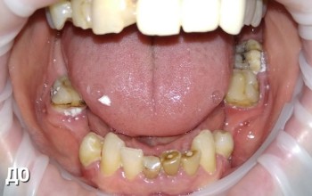
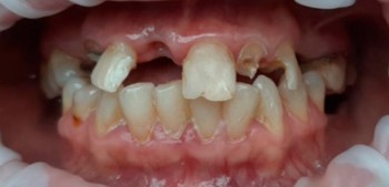
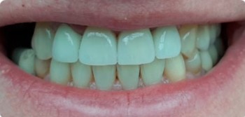
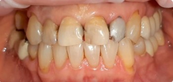
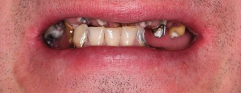
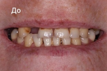
8 работ в портфолио
39 сертификатов
Опыт 15 лет

Ильин Станислав Юрьевич: портфолио (8)

    Помогите другим сделать правильный выбор — оставьте свой отзыв о докторе
    Написать отзыв

    Услуги стоматолога в других клиниках

    Эстетическая стоматология
    Установка виниров от 32 050 ₽ до 40 700 ₽
    Протезирование зубов
    Установка коронки на зуб от 6 000 ₽ до 38 500 ₽
    Виды протезов
    Еще услуги