Стоматолог Мазурок Маргарита Олеговна — цены, отзывы, стаж — Принимает в Ижевске

Мазурок Маргарита Олеговна

Мазурок Маргарита Олеговна - фотография
стоматолог-терапевт
детский стоматолог
Стаж 8 лет
Мазурок Маргарита Олеговна принимает в «Стоматологическая клиника РЕСТО» в Ижевске. Стаж 8 лет. Специализируется на терапии и детской стоматологии, по которым клиника оказывает 10 услуг. Имеет 7 работ до/после в портфолио. Квалификация специалиста подтверждена 25 лицензиями, сертификатами и наградами. Для уточнения дополнительной информации о специалисте или записи на прием можно позвонить по телефону
+7 (3412)Показать телефон
.

Где принимает:

25 сертификатов
7 работ в портфолио
Опыт 8 лет

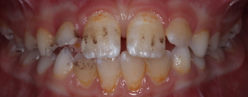
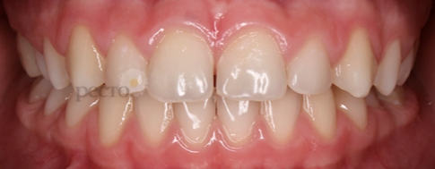
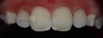
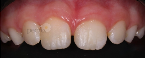
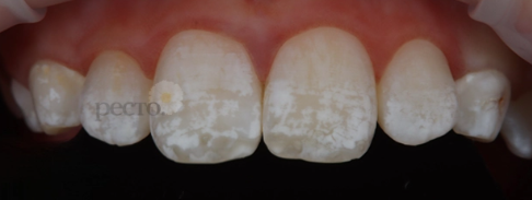
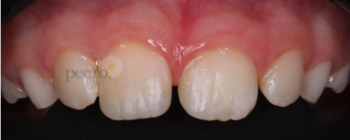
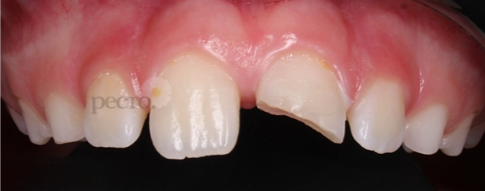
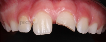
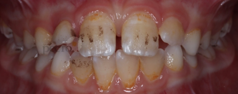
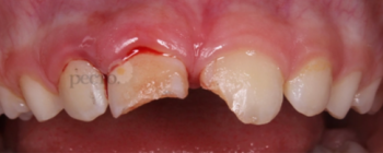
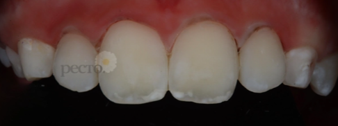
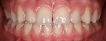
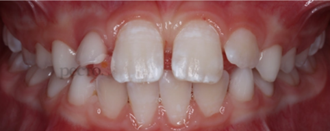
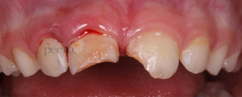
Мазурок Маргарита Олеговна: портфолио (7)

    Помогите другим сделать правильный выбор — оставьте свой отзыв о докторе
    Написать отзыв

    Услуги стоматолога в других клиниках

    Терапевтическая стоматология
    Лечение кариеса от 3 500 ₽ до 13 000 ₽
    Лечение пульпита от 6 100 ₽ до 22 000 ₽
    Еще услуги
    Детская стоматология
    Лечение молочных зубов от 1 000 ₽ до 4 900 ₽
    Удаление зубов у детей от 600 ₽ до 4 400 ₽
    Еще услуги