Стоматолог Шайнурова Роза Фардатовна — цены, отзывы, стаж — Принимает в Ижевске

Шайнурова Роза Фардатовна

Шайнурова Роза Фардатовна - фотография
стоматолог-хирург
Стаж 14 лет
Шайнурова Роза Фардатовна принимает в «Стоматологическая клиника РЕСТО» в Ижевске. Стаж 14 лет. Специализируется на хирургии, по которой клиника оказывает 9 услуг. Квалификация специалиста подтверждена 3 лицензиями, сертификатами и наградами. Для уточнения дополнительной информации о специалисте или записи на прием можно позвонить по телефону
+7 (3412)Показать телефон
.

Где принимает:

3 сертификата
Опыт 14 лет
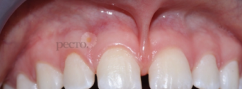
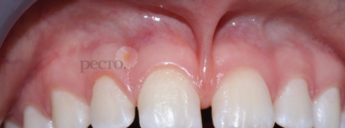
1 работа в портфолио

Шайнурова Роза Фардатовна: портфолио (1)

    Помогите другим сделать правильный выбор — оставьте свой отзыв о докторе
    Написать отзыв

    Услуги стоматолога в других клиниках

    Хирургическая стоматология
    Удаление зубов от 1 100 ₽ до 20 600 ₽
    Удаление кисты и гранулемы зуба от 800 ₽ до 13 000 ₽
    Еще услуги