Стоматолог Маматалиева (Давыдова) Алина Камильевна — цены, отзывы, стаж — Принимает в Казани

Маматалиева (Давыдова) Алина Камильевна

Маматалиева (Давыдова) Алина Камильевна - фотография
стоматолог-терапевт
стоматолог-ортопед
детский стоматолог
пародонтолог
Стаж 15 лет
Маматалиева (Давыдова) Алина Камильевна принимает в «Семейная стоматология КАМЕЛИЯ-МЕД НА СИБГАТА ХАКИМА» в Казани. Стаж 15 лет. Специализируется на терапии, ортопедии, детской стоматологии и пародонтологии, по которым клиника оказывает 29 услуг. Имеет 2 работы до/после в портфолио. Для уточнения дополнительной информации о специалисте или записи на прием можно позвонить по телефону
+7 (8432)Показать телефон
.

Где принимает:

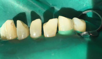
2 работы в портфолио
Опыт 15 лет
    Помогите другим сделать правильный выбор — оставьте свой отзыв о докторе
    Написать отзыв

    Услуги врача (85)

    Терапевтическая стоматология
    Лечение кариеса
    от 6 500 ₽ до 8 700 ₽ за 1 зуб
    Лечение кариеса ICON
    Лечение поверхностного кариеса
    Еще услуги
    Протезирование зубов
    Установка коронки на зуб
    Установка протеза Акри Фри (Acry-Free)
    Ремонт зубных протезов
    Еще услуги
    Пародонтология
    Лечение пародонтита
    Лечение пародонтоза
    Лечение аппаратом Вектор
    от 1 500 ₽ в области 1 зуба
    Еще услуги
    Детская стоматология
    Удаление зубов у детей
    от 2 500 ₽ до 3 500 ₽ за 1 зуб
    Удаление зубов под наркозом у детей
    Лечение молочных зубов
    от 5 900 ₽ за 1 зуб
    Еще услуги
    Все цены носят ознакомительный характер. Точную цену вы сможете получить только после консультации специалиста.
    Звоните по телефону:
    +7 (8432)Показать телефон

    Маматалиева (Давыдова) Алина Камильевна: портфолио (2)