Стоматолог Нуриахметова Лейсан Азатовна — цены, отзывы, стаж — Принимает в Казани

Нуриахметова Лейсан Азатовна

Нуриахметова Лейсан Азатовна - фотография

5.0
Рейтинг: 5.0
Отзывов: 2
Положительных: 2
Отрицательных: 0
Последний : 139 дн. назад
2 отзыва
стоматолог-терапевт
стоматолог-эндодонтист
Стаж 16 лет
Нуриахметова Лейсан Азатовна принимает в «Центр планирования имплантации зубов АНАТОМИЯ УЛЫБКИ» в Казани. Стаж 16 лет. Специализируется на терапии и эндодонтическом лечении, по которым клиника оказывает 15 услуг. Имеет 3 работы до/после в портфолио. Квалификация специалиста подтверждена 3 лицензиями, сертификатами и наградами. Занимает 7 место в рейтинге стоматологов-эндодонтистов 32top в вашем городе. Также 32top представляет форму онлайн расписания, через которую можно записаться к специалисту на свободную дату и время.

Где принимает:

3 сертификата
3 работы в портфолио
Опыт 16 лет

Отзывы о враче Нуриахметова Лейсан Азатовна

Рейтинг: 5
Отзывов: 2
Положительных: 2
Отрицательных: 0
Последний: 139 дн. назад
5.0
Почему нашим отзывам можно доверять?
11 декабря 2025 г.
1 2 3 4 5
Всегда лечу зубы и делаю чистку только у Лейсан Азатовны! Всегда очень быстро и качественно!
24 июля 2025 г.
1 2 3 4 5
Был первый раз в этой клинике на приеме у доктора Нуриахметовой Л.А. очень понравился прием, отзывчивый врач, все подробно объясняет, ставит точный диагноз, лечит под микроскопом очень аккуратно
Здравствуйте! Спасибо, что доверяете свое здоровье нашему врачу. Рады, что прием прошел отлично, и вы остались им довольны. Будем рады помочь вам при необходимости.
    Помогите другим сделать правильный выбор — оставьте свой отзыв о докторе
    Написать отзыв

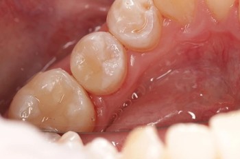
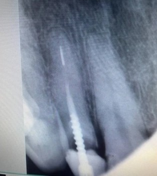
    Нуриахметова Лейсан Азатовна: портфолио (3)

    Услуги стоматолога в других клиниках

    Терапевтическая стоматология
    Лечение кариеса от 3 500 ₽ до 14 000 ₽
    Лечение пульпита от 5 000 ₽ до 35 000 ₽
    Еще услуги