Стоматолог Зиганшина (Шакирова) Мадина Наилевна — цены, отзывы, стаж — Принимает в Казани

Зиганшина (Шакирова) Мадина Наилевна

Зиганшина (Шакирова) Мадина Наилевна - фотография
стоматолог-терапевт
стоматолог-эндодонтист
Стаж 10 лет
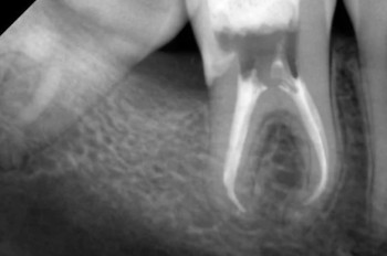
Зиганшина (Шакирова) Мадина Наилевна принимает в «Центр планирования имплантации зубов АНАТОМИЯ УЛЫБКИ» в Казани. Стаж 10 лет. Специализируется на терапии и эндодонтическом лечении, по которым клиника оказывает 15 услуг. Имеет 3 работы до/после в портфолио. Квалификация специалиста подтверждена 7 лицензиями, сертификатами и наградами.

Где принимает:

Опыт 10 лет
7 сертификатов
3 работы в портфолио

Отзывы о враче Зиганшина (Шакирова) Мадина Наилевна

Почему нашим отзывам можно доверять?
25 июня 2023 г.
1 2 3 4 5
Зиганшина Мадина Наилевна-чудестный, профессиональный доктор. Справилась с работой, за которую не брались даже в других клиниках и спасла очень тяжёлый зуб ребенку(Мальчик 11 лет, каналы труднодоступные, плохо проходимые, закальцифицированные дентином). Ее работа на высоте, лечение проходит под микроскопом, с каверданом. Все этапы контролируются снимками. Доктор очень тчательна и аккуратна, не больно было совсем, даже колоть анастезию. Ребенок во время лечение засыпает (я такого ещё не видела))). Решили всей семьёй, что теперь будем ходить только к ней. В кабинете и в самой клинике красиво, уютно, можно посидеть и почитать журналы, расслабится в массажном кресле. Администраторы вошли в положение и сделали скидку.
    Помогите другим сделать правильный выбор — оставьте свой отзыв о докторе
    Написать отзыв

    Зиганшина (Шакирова) Мадина Наилевна: портфолио (3)

    Услуги стоматолога в других клиниках

    Терапевтическая стоматология
    Лечение кариеса от 3 500 ₽ до 14 000 ₽
    Лечение пульпита от 5 000 ₽ до 35 000 ₽
    Еще услуги