Стоматолог Габитова Наталия Владимировна — цены, отзывы, стаж — Принимает в Казани

Габитова Наталия Владимировна

Габитова Наталия Владимировна - фотография
стоматолог-терапевт
Стаж 27 лет
врач высшей категории
Габитова Наталия Владимировна принимает в «Стоматология ЗДОРОВАЯ УЛЫБКА» в Казани. Врач высшей категории, стаж 27 лет. Специализируется на терапии, по которой клиника оказывает 9 услуг. Имеет 2 работы до/после в портфолио. Для уточнения дополнительной информации о специалисте или записи на прием можно позвонить по телефону
+7 (919)Показать телефон
. Также 32top представляет форму онлайн расписания, через которую можно записаться к специалисту на свободную дату и время.

Где принимает:

Опыт 27 лет
Врач высшей категории
2 работы в портфолио

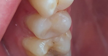
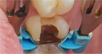
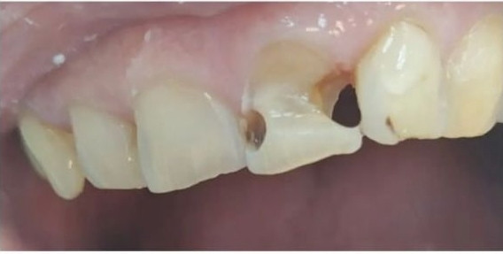
Габитова Наталия Владимировна: портфолио (2)

    Помогите другим сделать правильный выбор — оставьте свой отзыв о докторе
    Написать отзыв

    Услуги стоматолога в других клиниках

    Терапевтическая стоматология
    Лечение кариеса от 3 500 ₽ до 14 000 ₽
    Лечение пульпита от 5 000 ₽ до 35 000 ₽
    Еще услуги