Стоматолог Багиров Айдын Бахтиярович — цены, отзывы, стаж — Принимает в Казани

Багиров Айдын Бахтиярович

Багиров Айдын Бахтиярович - фотография
стоматолог-хирург
стоматолог-имплантолог
челюстно-лицевой хирург
Стаж 7 лет
Багиров Айдын Бахтиярович принимает в «Стоматология МАКССМАЙЛ» в Казани. Стаж 7 лет. Специализируется на хирургии, имплантологии и челюстно-лицевой хирургии, по которым клиника оказывает 16 услуг. Квалификация специалиста подтверждена 30 лицензиями, сертификатами и наградами. Для уточнения дополнительной информации о специалисте или записи на прием можно позвонить по телефону
+7 (917)Показать телефон
.

Где принимает:

30 сертификатов
Опыт 7 лет
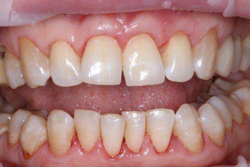
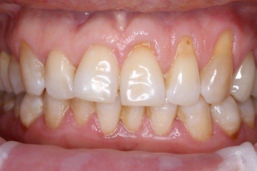
1 работа в портфолио

Стоматологические ассоциации

  • American Academy of Implant Dentistry (AAID)

Багиров Айдын Бахтиярович: портфолио (1)

    Помогите другим сделать правильный выбор — оставьте свой отзыв о докторе
    Написать отзыв

    Услуги стоматолога в других клиниках

    Хирургическая стоматология
    Удаление зубов от 1 100 ₽ до 20 000 ₽
    Удаление кисты и гранулемы зуба от 600 ₽ до 25 000 ₽
    Еще услуги
    Имплантация
    Установка мини-импланта от 10 000 ₽ до 26 700 ₽
    Коронки на имплантах от 12 240 ₽ до 86 900 ₽
    Еще услуги