Стоматолог Абдрахманов Айдар Камилевич — цены, отзывы, стаж — Принимает в Казани

Абдрахманов Айдар Камилевич

Абдрахманов Айдар Камилевич - фотография
стоматолог-ортодонт
гнатолог
Стаж 8 лет
Абдрахманов Айдар Камилевич принимает в «Стоматология КАМИЛ-ДЕНТ+» в Казани. Стаж 8 лет. Специализируется на ортодонтии и гнатологии, по которым клиника оказывает 8 услуг. Имеет 5 работ до/после в портфолио. Для уточнения дополнительной информации о специалисте или записи на прием можно позвонить по телефону
+7 (843)Показать телефон
. Также 32top представляет форму онлайн расписания, через которую можно записаться к специалисту на свободную дату и время.

Где принимает:

Опыт 8 лет
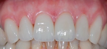
5 работ в портфолио

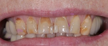
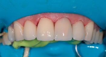
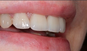
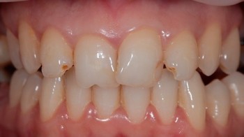
Абдрахманов Айдар Камилевич: портфолио (5)

Отзывы о враче Абдрахманов Айдар Камилевич

Почему нашим отзывам можно доверять?
7 марта 2024 г.
1 2 3 4 5
Прохожу лечение на брекетах. За пару месяцев уже видимый результат. До этого делали кондилографию, беспокоил сустав. Все поправили. Лечимся. Спасибо за бонусную систему. ОЧень приятно и удобно регулировать записи онлайн.
    Помогите другим сделать правильный выбор — оставьте свой отзыв о докторе
    Написать отзыв

    Услуги стоматолога в других клиниках

    Ортодонтия
    Установка брекетов от 10 000 ₽ до 250 000 ₽
    Снятие брекетов от 1 000 ₽ до 35 000 ₽
    Еще услуги