Стоматолог Кхалил Абаноуб Адли Абдуллах — цены, отзывы, стаж — Принимает в Казани

Кхалил Абаноуб Адли Абдуллах

Кхалил Абаноуб Адли Абдуллах - фотография
стоматолог-терапевт
стоматолог-эндодонтист
Стаж 4 года
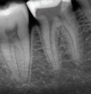
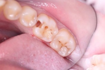
Кхалил Абаноуб Адли Абдуллах принимает в «Центр планирования имплантации зубов АНАТОМИЯ УЛЫБКИ» в Казани. Стаж 4 года. Специализируется на терапии и эндодонтическом лечении, по которым клиника оказывает 15 услуг. Имеет 4 работы до/после в портфолио. Также 32top представляет форму онлайн расписания, через которую можно записаться к специалисту на свободную дату и время.

Где принимает:

4 работы в портфолио
Опыт 4 года
    Помогите другим сделать правильный выбор — оставьте свой отзыв о докторе
    Написать отзыв

    Кхалил Абаноуб Адли Абдуллах: портфолио (4)

    Услуги стоматолога в других клиниках

    Терапевтическая стоматология
    Лечение кариеса от 3 500 ₽ до 14 000 ₽
    Лечение пульпита от 5 000 ₽ до 35 000 ₽
    Еще услуги