Стоматолог Мирзаянова Яна Равилевна — цены, отзывы, стаж — Принимает в Казани

Мирзаянова Яна Равилевна

Мирзаянова Яна Равилевна - фотография

5.0
Рейтинг: 5.0
Отзывов: 9
Положительных: 9
Отрицательных: 0
Последний : 108 дн. назад
9 отзывов
стоматолог-терапевт
стоматолог-ортодонт
Стаж 6 лет
Мирзаянова Яна Равилевна принимает в «Центр планирования имплантации зубов АНАТОМИЯ УЛЫБКИ» в Казани. Стаж 6 лет. Специализируется на терапии и ортодонтии, по которым клиника оказывает 16 услуг. Имеет 2 работы до/после в портфолио. Занимает 17 место в рейтинге стоматологов вашего города.

Где принимает:

2 работы в портфолио
Опыт 6 лет
Топ 20 в рейтинге

Отзывы о враче Мирзаянова Яна Равилевна

Рейтинг: 5
Отзывов: 9
Положительных: 9
Отрицательных: 0
Последний: 108 дн. назад
5.0
Почему нашим отзывам можно доверять?
11 января 2026 г.
1 2 3 4 5
Врач была крайне доброжелательна ,подробно все рассказала , сориентировала и по срокам лечения и методам лечения и по прайс -листу.
1 июля 2025 г.
1 2 3 4 5
Хочу выразить искреннюю благодарность стоматологии «Анатомия Улыбки» и особенно врачу-ортодонту Яне Равилевне! Профессионализм, внимательность и доброжелательное отношение сделали процесс лечения максимально комфортным. Яна Равилевна подробно объяснила все этапы, ответила на все вопросы и всегда была на связи. Благодаря её заботе и мастерству моя улыбка стала ровной и красивой. Рекомендую этого специалиста всем, кто ценит качество и индивидуальный подход!
Здравствуйте! Благодарность от пациентов является лучшей мотивацией для нашей команды. Спасибо, что поделились своим положительным опытом — это повод для гордости.
15 мая 2025 г.
1 2 3 4 5
Если вам нужен грамотный ортодонт,то рекомендую Мирзаянову Яну Равилевну.Все очень понятно хорошо объясняет,видит проблему с разных сторон.Начали с ней лечение на аппарате Марпе,по мере лечения буду дополнять отзыв.
Здравствуйте! Большое спасибо за Ваш отзыв! Нам очень приятно, что Вы остались довольны нашим сервисом. Мы всегда стараемся делать всё возможное для здоровья и красивой улыбки наших пациентов. Будем рады видеть Вас снова!
26 марта 2025 г.
1 2 3 4 5
Была на приеме у Мирзаяновой Я.Р. Очень приятный врач-ортодонт, проконсультировался по поводу брекет,все рассказала,сделали 3д снимок челюстей ,прописали план лечения и вот ожидаю установку брекет,все супер, персонал вежливый,атмосфера приятная
Здравствуйте! Благодарим за добрые слова! Ваша улыбка – наша главная награда. Желаем Вам крепкого здоровья и отличного настроения!
16 января 2025 г.
1 2 3 4 5
Наблюдаемся у Яны Рамилевны. Все нравится. Очень милый и компетентный врач.
Здравствуйте! Спасибо за отзыв. Мнение пациентов для нас очень важно. Наши специалисты на деле доказывают свою компетентность. Мы всегда к Вашим услугам, обращайтесь!
12 января 2025 г.
1 2 3 4 5
Была на приеме у врача Мирзаяновой,прошло конфлртно все поноааилрсь,рекоменлкю )
Здравствуйте, благодарим вас за отзыв! У нас работают высококвалифицированные стоматологи, которые делают все возможное, чтобы позаботиться о вашем здоровье.
29 декабря 2024 г.
1 2 3 4 5
Сегодня была на приеме у Мирзаяновой Яны Равилевны, который прошел максимально комфортно. Врач всегда внимательно осматривает и все подробно разъясняет. От всей души рекомендую ее всем, кто решился на ортодонтичпспое лечение.
26 декабря 2024 г.
1 2 3 4 5
Была на приеме у врача Яны Равилевны, все понравилось, все подробно объяснила
Здравствуйте! Спасибо, что выбрали нашу клинику. Очень рады, что Вы остались довольны. Желаем Вам успехов и здоровья!
23 декабря 2024 г.
1 2 3 4 5
Всё очень понравилось, , вежливый и приветливый администраторы Дилара и Резеда, были на приёме у Яны Равильевны, очень чуткий и заботливый специалист, в клинике очень уютная обстановка и вкусные чаи и кофе ☕
Здравствуйте! Спасибо за отзыв. Мы признательны за Ваш выбор и оказанное доверие. Мы очень рады, что помогли Вам. Обращайтесь, мы вновь постараемся Вам помочь!
    Помогите другим сделать правильный выбор — оставьте свой отзыв о докторе
    Написать отзыв

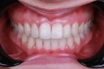
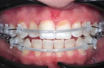
    Мирзаянова Яна Равилевна: портфолио (2)

    Услуги стоматолога в других клиниках

    Терапевтическая стоматология
    Лечение кариеса от 3 500 ₽ до 14 000 ₽
    Лечение пульпита от 5 000 ₽ до 35 000 ₽
    Еще услуги
    Ортодонтия
    Установка брекетов от 10 000 ₽ до 250 000 ₽
    Снятие брекетов от 1 000 ₽ до 35 000 ₽
    Еще услуги