Стоматолог Халиуллина Гульназ Равилевна — цены, отзывы, стаж — Принимает в Казани

Халиуллина Гульназ Равилевна

Халиуллина Гульназ Равилевна - фотография

5.0
Рейтинг: 5.0
Отзывов: 5
Положительных: 5
Отрицательных: 0
Последний : 160 дн. назад
5 отзывов
стоматолог-ортодонт
гнатолог
Стаж 21 год
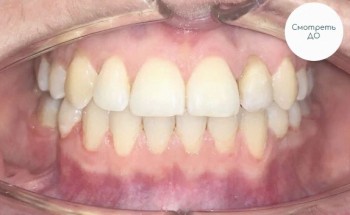
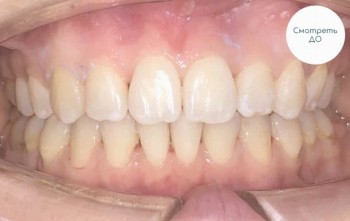
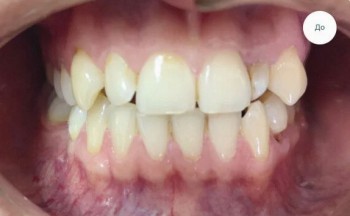
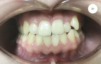
Халиуллина Гульназ Равилевна принимает в «УНИВЕРСИТЕТСКАЯ СТОМАТОЛОГИЯ» в Казани. К.м.н., стаж 21 год. Специализируется на ортодонтии и гнатологии, по которым клиника оказывает 11 услуг. Имеет 4 работы до/после в портфолио. Квалификация специалиста подтверждена 16 лицензиями, сертификатами и наградами. Для уточнения дополнительной информации о специалисте или записи на прием можно позвонить по телефону
+7 (843)Показать телефон
.

Где принимает:

Кандидат мед.наук
4 работы в портфолио
16 сертификатов
Опыт 21 год

Отзывы о враче Халиуллина Гульназ Равилевна

Рейтинг: 5
Отзывов: 5
Положительных: 5
Отрицательных: 0
Последний: 160 дн. назад
5.0
Почему нашим отзывам можно доверять?
После приема Пациент записывался в клинику через 32top. После приёма мы позвонили ему и получили отзыв.
11 декабря 2025 г.
1 2 3 4 5
Специально искала гнатолога по отзывам - выбрала доктора Гульназ Равилевну. На консультации врач обстоятельно ответила на все вопросы, провела осмотр внимательно. Внутри клиники комфортная обстановка, персонал доброжелательный. Записались без проблем, приняли вовремя. Цена соответствует качеству услуг. Определённо буду продолжать лечение у этого специалиста.
Добрый день! Спасибо за доверие и такой приятный отзыв! Надеемся, что и в дальнейшем будем радовать вас качественным сервисом и отличными результатами! С уважением, команда Университетской стоматологии!
После приема Пациент записывался в клинику через 32top. После приёма мы позвонили ему и получили отзыв.
10 октября 2025 г.
1 2 3 4 5
Искала опытного и хорошего ортодонта. Вышла эта клиника по отзывам и рейтингу. Была на консультации и продолжила лечение у стоматолога Халиуллиной Гульназ. Очень довольна, что попала к ней, врач очень внимательная, все рассказывает понятно и проводит процедуру без боли. Врача рекомендую.
Добрый день! Спасибо за ваш тёплый отзыв! Мы очень рады, что остались довольны лечением. Для нас важно, чтобы каждый пациент чувствовал себя комфортно и видел отличный результат. Будем рады видеть вас снова! С уважением, команда Университетской стоматологии!
После приема Пациент записывался в клинику через 32top. После приёма мы позвонили ему и получили отзыв.
6 июля 2025 г.
1 2 3 4 5
Клинику нашла в интернете, хорошая клиника, была на консультации у врача Гульназ Равилевны. Очень все понравилось, врач очень хороший профессионал своего дела, провела полную консультацию, дала рекомендации - какие пройти доп. обследования, рассказала, как будет проходить лечение и какой она видит результат. Буду продолжать лечение.
Доброго времени суток! Спасибо большое за Ваш отзыв! Очень приятно, что визит в нашу клинику оставил Вам положительные эмоции. Будем рады видеть Вас снова! С уважением, администрация “Университетской стоматологии”
4 января 2025 г.
1 2 3 4 5
Гульназ Равилевна, хочу выразить огромную благодарность вам. Два года назад я обратился к вам, чтобы поставить брекеты, и вот уже полгода, как их сняли. Не перестаю радоваться результату, наша с вами улыбка просто восхитительна. Желаю вам крепкого здоровья.
Здравствуйте! Спасибо за такой позитивный отзыв! Теперь у нас есть повод для маленького праздника в клинике. Рады, что вы остались довольны, и обещаем держать марку!С уважением, команда Университетской стоматологии!
1 октября 2024 г.
1 2 3 4 5
Обратились в эту клинику с 12-летней дочерью, нам оперативно помогли решить проблему. Через пару лет пришли сюда снова с тем же самым вопросом, но уже с младшей дочкой. Попали к тому же специалисту. Гульназ Равилевна — настоящий мастер своего дела! Она очень внимательна и заботлива, искренне относится к своим клиентам. Это действительно квалифицированный доктор и человек с большой буквы! Мы выражаем ей огромную признательность. Клиника расположена в удобном месте с хорошей транспортной связью, так что добраться сюда не сложно. Несмотря на скромные размеры, она светлая, уютная и всегда поддерживается в чистоте!
Доброго времени суток! Спасибо большое за Ваш отзыв! Очень приятно, что визит в нашу клинику оставил Вам положительные эмоции. Будем рады видеть Вас снова! С уважением, администрация “Университетской стоматологии”
    Помогите другим сделать правильный выбор — оставьте свой отзыв о докторе
    Написать отзыв

    Услуги врача (21)

    Диагностика
    Консультация ортодонта
    от 3 000 ₽ за 1 сеанс
    Консультация гнатолога
    от 3 000 ₽
    Ортодонтия
    Установка брекетов
    от 55 000 ₽ до 110 000 ₽ за 1 челюсть
    Снятие брекетов
    от 2 500 ₽ за 1 челюсть
    Установка элайнеров
    от 127 000 ₽ до 317 000 ₽ за обе челюсти
    Еще услуги
    Все цены носят ознакомительный характер. Точную цену вы сможете получить только после консультации специалиста.
    Звоните по телефону:
    +7 (843)Показать телефон

    Халиуллина Гульназ Равилевна: портфолио (4)

    Акции и скидки клиники УНИВЕРСИТЕТСКАЯ СТОМАТОЛОГИЯ (1)